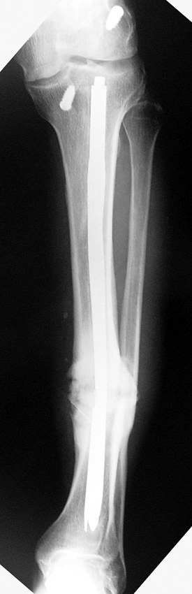
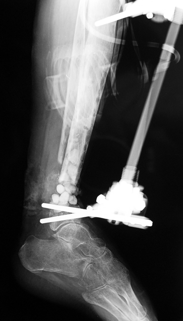
Tibia Psödartroz

Kırık kaynama yokluklannın tedavisi hala, ortopedik cerrah için çözümü güç sorunlardandır. Tek bir tedavi yöntemi yoktur. Tüm bu yöntemler problemli ve daima komplikasyonlara açıktır. Kaynamamaya enfeksiyon, yumuşak doku kaybı ile deformite ve kısalık eşlik edebilmektedir, Kaynamama için internal ve eksternal birçok teknik belirtilmiştir.

Kaynamayan kemik uçlarının çıkartılması, damarlı fibula veya fibula grefti, damarlı kas greftleri ile birlikte internal fiksasyon uygulamaları, elektrik stimulasyon gibi uygulamalar kaynamamada bir şeçenektir. Fakat kısalık ve deformite gibi ek patolojiler tedavisinde kısıtlı kalmaktadır. İlizarov eksternal fiksatörü ile uygulanan distraksiyon osteogenezi uygulamaları ile birlikte yapılan psödoartroz sahasından akut kısatma ve aynı kemikteki diğer segmentten uzatma yapılmaktadır.

Ilizarov ve arkadasları, kendi geliştirdikleri yöntem ve fiksatörle, aynı anda, hastanın günlük aktivitelerini kısıtlamadan, eklem fonksiyonlarını koruyarak kaynamayı basarmıs,deformiteyi düzeltmis, uzunlugu yeniden sağlamıstır. Bu teknik sayesinde kemik defektlerinin kapatılması ve enfeksiyon gibi hastaya morbidite getiren ek patolojiler giderilmiş aynı zamanda kısalıkta telafi edilmiştir.

Vaka 1
Vaka 2
Vaka 3



Management of Stiff Hypertrophic Nonunions by Distraction Osteogenesis – A Report of 16 Cases
Tibial nonunion
(JBJS) Nonunion 2006