Raşitizm Sekelleri

Metabolik kemik hastalıkları, büyüme plağında bozukluğa yol açan ve kemik mineralizasyonunun bozulduğu bir grup hastalıktır ve çoğunlukla pediatrik yaş grubunda görülürler. Bu hastalıklar nadirdir ancak özellikle alt ekstremitelerde önemli kemik deformitelerine ve kozmetik sorunlara yol açarlar. Hipofosfatemik raşitizmde olduğu gibi doğumsal ya da genetik kaynaklı olabildikleri gibi, renal osteodistrofide olduğu gibi edinsel de olabilirler.

Hipofosfatemik raşitizm, X geçişli herediter hipofosfatemik raşitizm, vitamin D dirençli raşitizm ya da renal osteodistrofi gibi çeşitli metabolik hastalıkları içine alan bir hastalık grubudur. Ortak laboratuvar bulgusu normal ya da hafif düşük serum kalsiyum düzeyi, fosfatüriye bağlı düşük serum fosfat düzeyi ve yülksek ALP düzeyidir.

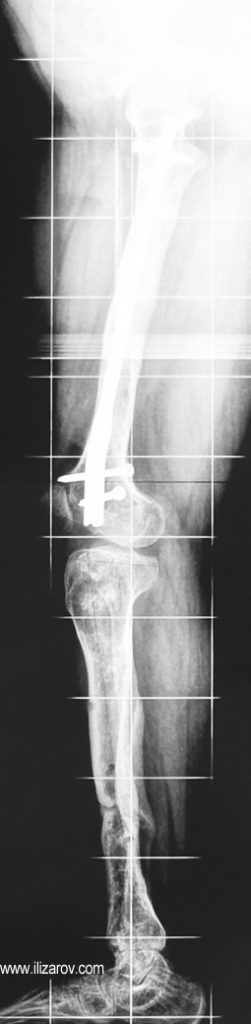
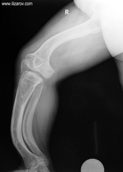
Hipofosfatemik raşitizmde anormal kemik bulguları 1 yaşından sonra belirginleşir; kısa boy ve sıklıkla diz çevresinde deformiteler (bilateral genu valgum ya da varum, tibial torsiyon, femur ve tibiada eğrilik, ‘windswept’ deformitesi) ortaya çıkar.

Cerrahi öncesi hastaların laboratuvar değerleri kontrol edilir ve endokrinoloji departmanı tarafından uygun tedavi uygulanır. En az 6 ay kalsitriol (D vitamini) ve fosfat tedavisi alan hastaların laboratuvar değerleri normale döndüğü zaman cerrahi uygulanabilir. Endokrinoloji takibi cerrahi sonrası dönemde de devam eder.

Hipofosfatemik raşitizmin neden olduğu bozukluk büyüme plağına çok yakın olduğu için büyük bir deformite ve ciddi dizilim bozukluğu ortaya çıkar. Bu nedenle cerrahi öncesi değerlendirmede sıklıkla birden çok deformite merkezi (CORA) bulunur ve deformitenin düzeltilmesi için birden çok seviyeden osteotomi yapılması gerekir. Deformitenin düzeltilmesi için en sık kullanılan yöntemler Ilizarov yöntemi ya da monolateral eksternal fiksatör kullanılarak akut ya da tedrici deformite düzeltilmesidir. Kliniğimizde uygulanan fiksatör yardımlı çivileme yönteminde deformite eksternal fiksatör kullanılarak akut olarak düzeltildikten sonra intramedüller çivi ile stabilizasyon sağlanmakta, uzatma yapılmayacaksa eksternal fiksatör cerrahi sona ermeden çıkartılmakta, uzatma yapılacaksa (çivi üzerinden uzatma) uzatma tamamlandıktan sonra fiksatör çıkartılmaktadır. Bu sayede tel dibi enfeksiyonu riski ortadan kalkmakta, hipofosfatemik raşitizm tedavisinde önemli sorunlar olan koreksiyon kaybı ve deformite nüksü önlenmekte, hastaya erken hareket verilerek tam yükle yürümesine izin verilmekte ve eksternal fiksatör süresi azaldığı için hasta konforu artmaktadır.

Vaka 1
Vaka 2
Vaka 3
Vaka 4
Vaka 5
JBJS-FAN-CASES-2004.pdf
JBJS-Femur-FAN-LON-2009.pdf
JBJS-Tibia-FAN-LON-2010.pdf
The-advantages-KNEE-ART-2003.pdf
Deformite-Teknik-FAN.pdf