Parmak Uzatma

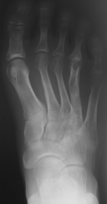
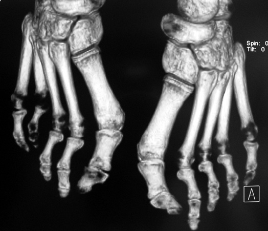
El parmağı (metakarp) ve ayak parmağı (metatars) kısalıkları doğuştan tek başına, geniş bir sendrom grubuyla birlikte, travma sonrası, Freiberg hastalığı (avasküler nekroz) sonrası görülebilir.

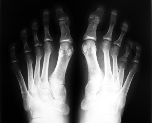
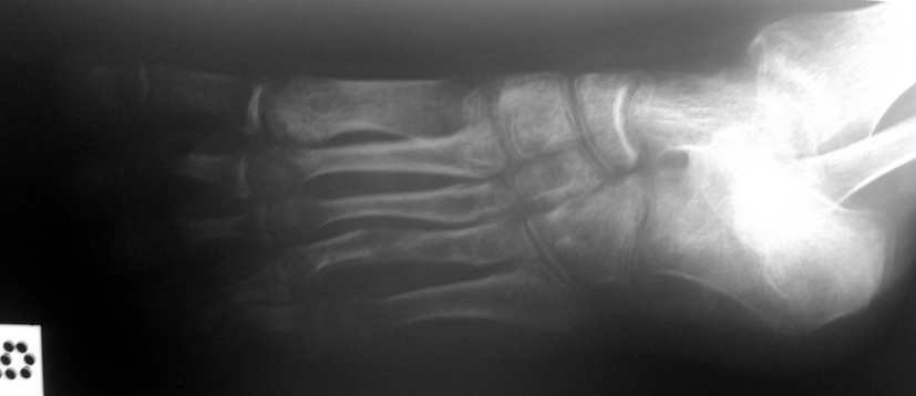
Doğuştan metakarp ve metatars kısalığının görülme sıklığı 1/1000’den azdır. Kadınlarda erkeklere göre 5 kat daha fazla görülür ve sıklıkla (%72) iki taraflıdır. En sık 4. parmak tutulur. Bu tür olgularda sorunun nedeni tam olarak bilinmemekle brlikte deformitenin genellikle epifiz plağının erken kapanmasından kaynaklandığı düşünülmektedir.

Metakarp kısalığında kozmetik görünümün bozulması ve dominant elin kullanımı sırasında yorulma, metatars kısalığında ise kozmetik haricinde metatarsalji, kısa parmağın dorsale kayması sonucu deformite oluşması, plantar yönde açılanması sonucu ağrı ve bası ülserleri, ve ayakkabı giymede zorluk nedeniyle ameliyat gerekebilir.

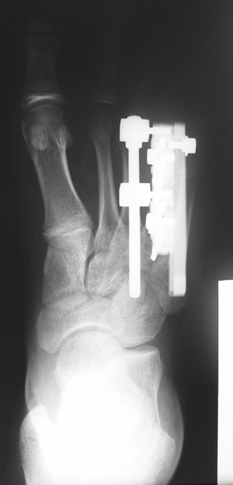
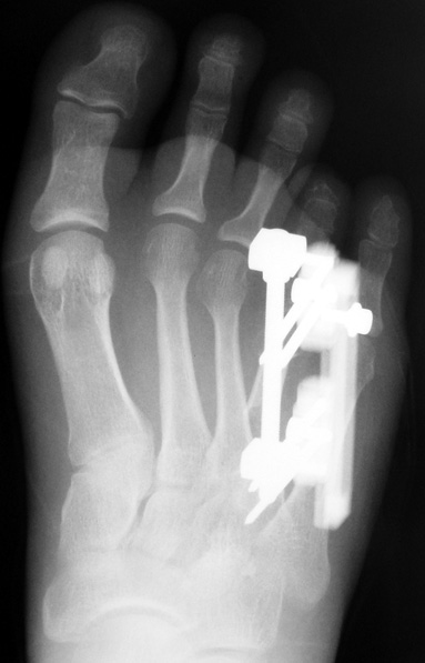
Doğuştan metakarp ve metatars kısalıklarının redavisi için pek çok teknik tanımlanmakla birlikte en çok akut uzatma sonrası kemik uçlarına greft konması ve distraksiyon osteogenezi (kallotasis) kullanılmaktadır. 1 cm.den daha fazla uzatma gereken olgularda kallotasis yöntemi önerilmektedir. Kliniğimizde de metatars ve metakarp uzatma için unilateral eksternal fiksatör ve sirküler eksternal fiksatör yardımıyla distraksiyon osteogenezi yöntemi tercih edilmektedir.

Parmak Uzatma PDF
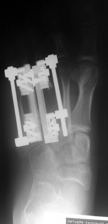
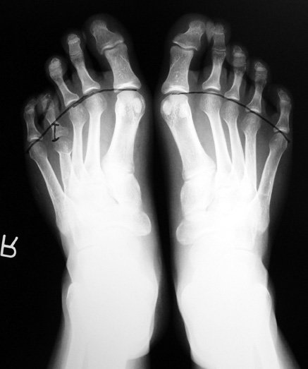
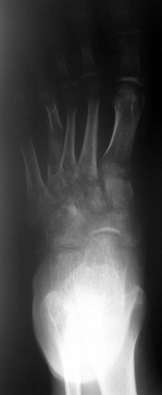
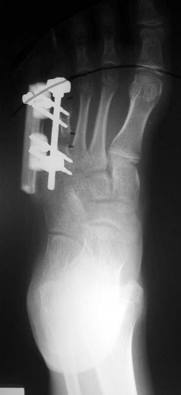
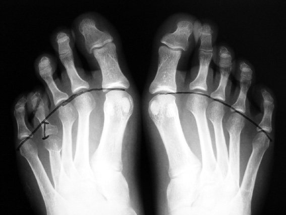
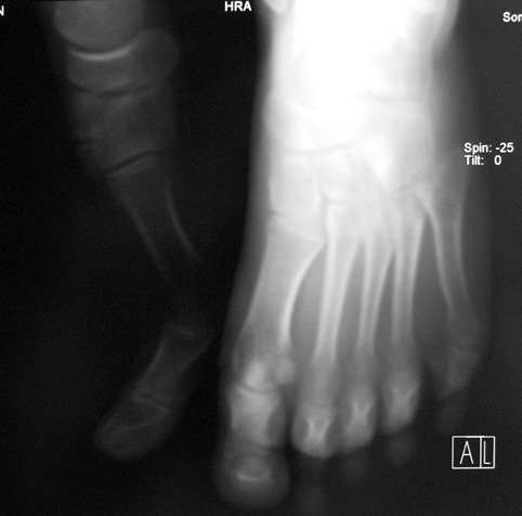
Vaka 1
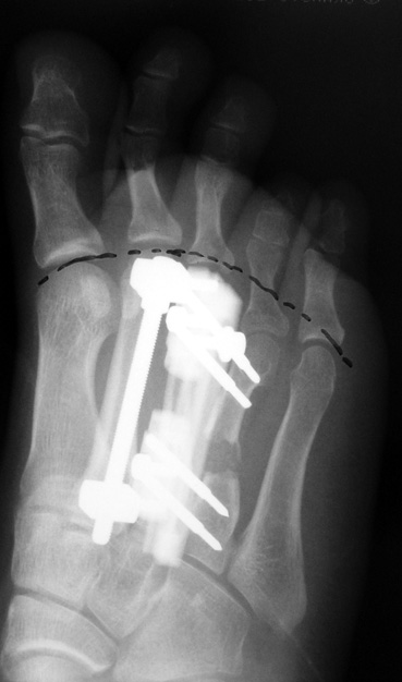
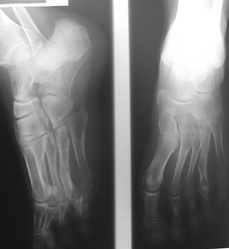
Vaka 2
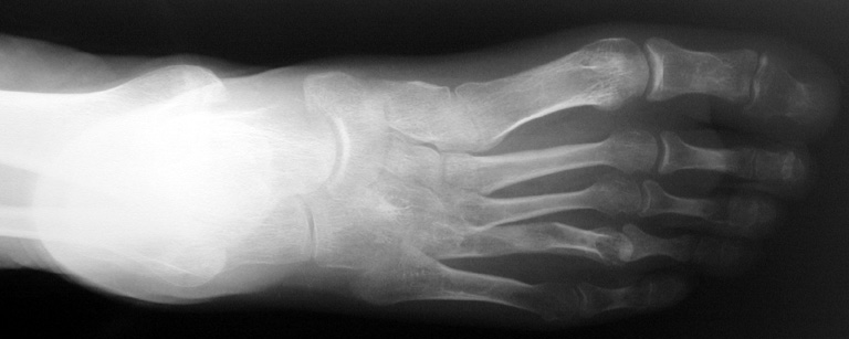
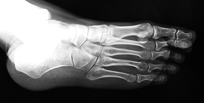
Vaka 3
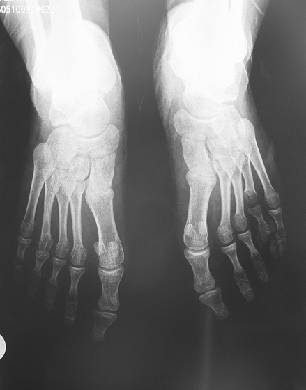
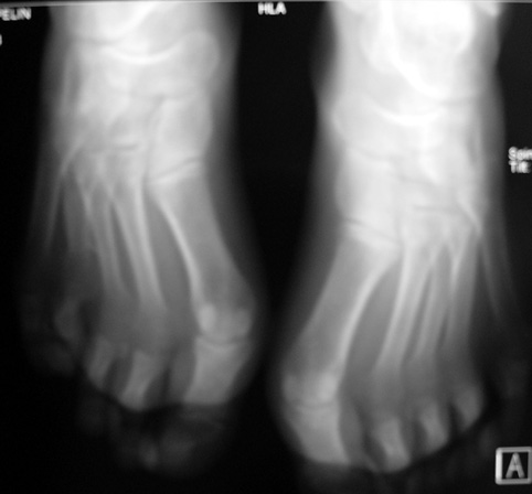
Vaka 4
Vaka 5