İM Motorlu Çivi ile Uzatma

FITBONE – Bilgisayar Kontrollü Intramedullar Uzatma Çivisi

Eksternal fiksatör ile yapılan klasik uzatma tekniklerinin getirmiş olduğu dezavantajları ortadan kaldırarak, hasta konforunu artıran ve enfeksiyon ve hasta kısıtlamasını indirgeyen bir tekniktir.

Tamamen vücut içerisinde kalan bir donanıma sahip, dereceli olarak iki kemik arasında uzatma yapabilmektedir. Üstün teknik altyapısı sayesinde, çivi telemetrik olarak kumanda edilmekte ve hiçbir dış bağlantıya ihtiyaç duymamaktadır.

Hastanın enfeksiyon riskini azalttığı gibi, daha az ağrı duymasını da sağlar ve kozmetik sıkıntılar oluşturmaz. Hastanın daha kısa sürede günlük yaşamına dönmesine ve hastanede de daha az kalması bu teknikle mümkündür. Femur, tibia ve humerus için farklı tipleri vardır.





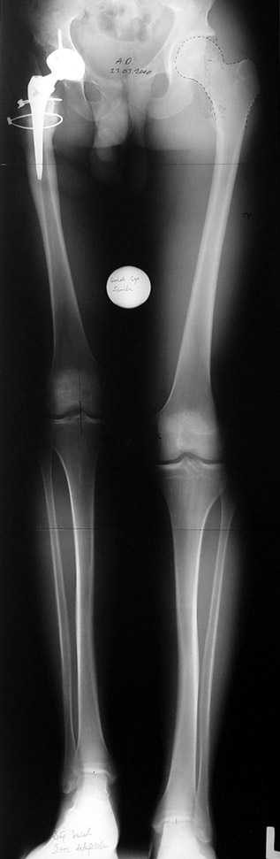
Vaka 1
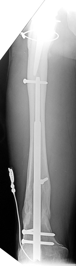
Vaka 2