İhmal Edilmiş Kalça

İhmal Edilmiş Yüksekte Kalça Çıkığı Tedavisinde Kalça Rekonstrüksiyon Osteotomisi Doğuştan kalça çıkığı, ihmal edildiğinde, ergen ve erişkin yaşta ağrı, bacakta kısalık, topallama gibi şikayetlere neden olur. Ciddi ağrı ve topallama nedeniyle başlıca, total kalça protezi ya da pelvik destek osteotomisi ile tedavi edilebilirler. Genç hastalarda kalça protezinin, proteze binen yüklerin fazla olması nedeniyle, gevşeme riski daha fazladır; bu nedenle pelvik destek osteotomisi değerli bir tedavi yöntemi olarak kabul edilmektedir.

İhmal edilmiş doğuştan kalça çıkığında tedavinin amacı, abdüktör yetmezliğine bağlı topallamanın düzeltilmesi, bacak uzunluk farkının giderilmesi, lomber lordozun düzeltilmesi ve abdüksiyon aralığının arttırılmasıdır. Ilizarov’un tarif ettiği kalça rekonstrüksiyon osteotomisinde, kalçaya abdüksiyon efekti verilerek abdüksiyopn aralığı arttırılır ve femur pelviste desteklenir. Ek olarak daha distalden yapılan ikinci osteotomi ile bacak uzunluk farkı ve dizdeki valgus düzeltilir. Sonuç olarak mekanik aks pelvik destek noktasından geçer. Bu yöntem için 3-4 halkadan oluşan sirküler eksternal fiksatör kullanılmaktadır.

1. 18 yaşında, hanım hasta, sağ ihmal edilmiş kalça çıkığı, sol asetabuler displazi tanısı kondu, sağ alt ekstremitede 8 cm. kısalık mevcut

2. Hastanın ameliyat öncesi Trendelenburg pozisyonunda fotoğrafı

3. Hastanın ameliyat öncesi AP ortoröntgenografisi

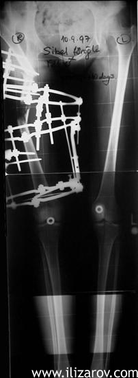
4. Hastanın tedavi sırasında AP ortoröntgenografisi

5. Hastanın İlizarov çerçevesi çıktıktan sonra erken dönem AP ortoröntgenografisi

6. Hastanın ameliyat sonrası, ayakta, kısalığın telafi edildiğini gösteren fotoğrafı

7. Hastanın ameliyat sonrası Trendelenburg pozisyonunda fotoğrafı

8. Hastanın ameliyat sonrası 5. yılda kalça hareket açıklığı

9. Hastanın ameliyat sonrası 5. yılda AP ortoröntgenografisi

Vaka 1