Humerus Psödartroz

Kırık kaynama yokluklannın tedavisi hala, ortopedik cerrah için çözümü güç sorunlardandır. Tek bir tedavi yöntemi yoktur. Tüm bu yöntemler problemli ve daima komplikasyonlara açıktır. Kaynamamaya enfeksiyon, yumuşak doku kaybı ile deformite ve kısalık eşlik edebilmektedir, Kaynamama için internal ve eksternal birçok teknik belirtilmiştir. Kaynamayan kemik uçlarının çıkartılması, damarlı fibula veya fibula grefti, damarlı kas greftleri ile birlikte internal fiksasyon uygulamaları, elektrik stimulasyon gibi uygulamalar kaynamamada bir şeçenektir. Fakat kısalık ve deformite gibi ek patolojiler tedavisinde kısıtlı kalmaktadır. İlizarov eksternal fiksatörü ile uygulanan distraksiyon osteogenezi uygulamaları ile birlikte yapılan psödoartroz sahasından akut kısatma ve aynı kemikteki diğer segmentten uzatma yapılmaktadır. Ilizarov ve arkadasları, kendi geliştirdikleri yöntem ve fiksatörle, aynı anda, hastanın günlük aktivitelerini kısıtlamadan, eklem fonksiyonlarını koruyarak kaynamayı basarmıs,deformiteyi düzeltmis, uzunlugu yeniden sağlamıstır. Bu teknik sayesinde kemik defektlerinin kapatılması ve enfeksiyon gibi hastaya morbidite getiren ek patolojiler giderilmiş aynı zamanda kısalıkta telafi edilmiştir.

Humerus diafiz kırıkları konservatif yöntemlerle genelde başarı ile tedavi edilebilirse de, hastaların takipleri sırasında fragmanlar arası belirgin deplasman, yumuşak doku interpozisyonu, kabul edilemez sınırlarda angulasyon ve yeterli süre geçmesine rağmen kırık iyileşme bulgularının görülememesi gibi nedenlerle cerrahi yöntemlere geçiş yapılabilir ya da açık kırık, transvers-kısa oblik kırık, nörovasküler yaralanma, multipl kırıklar, kapalı redüksiyona rağmen kırık uçlarının deplase izlendiği yumuşak doku interpozisyonu düşündüren kırıklar, hastanın konservatif tedavi yöntemlerini tolere edemediği durumlarda cerrahi yöntemler tercih edilir. Bir çok çalışma humerus diafiz kırıklarının tedavisinde konservatif yöntemlerin, cerrahi yöntemlere oranla daha yüksek kaynama oranlarına ulaştığını göstermiştir.

Konservatif veya konvansiyonel cerrahi yöntemlerle tedaviye rağmen en az 4 ay geçmesine karşın kaynama sağlanamaması durumunda kırığı artık psödartroz olarak kabul etmek gerekir. Rosen ise 3-4 ay gibi bir sürede kaynama sağlanamamasını kaynama gecikmesi, 6-8 ay gibi bir sürede kaynama sağlanamamasını ise psödartroz olarak değerlendirmiştir. Humerus psödartrozlarının tedavisinde değişik plak-vida uygulamaları, intramedüller fiksasyon cihazları ve tek başına ya da kombine greftleme yöntemleri gibi cerrahi yöntemler ve elektrik stimülasyonu gibi konservatif yöntemler kullanılmasına rağmen, her zaman istenilen sonuçlar elde edilememiştir.

İlizarov distraksiyon osteogenezi kavramını ortaya atmış ve psödartroz bölgesinin distrakte edilerek normal kemik dokusuna dönüştürülebileceğini ve kaynamanın sağlanabileceğini göstermiştir.

Humerus psödartrozlarının tedavisi için bir çok yöntem tanımlanmış olmasına rağmen, çoğu olguda tekrarlayan ameliyatlar gerekmekte, ameliyat sayısının artması ile orantılı olarak başarı oranı düşmektedir. Bu yüzden humerus psödartrozlarının tedavisi kadar, bu güç komplikasyonun azaltılmasına yönelik önlemler alınması da önemlidir. Humerus 1/3 distal-orta bileşim yerindeki kırıklar, transvers veya kısa-oblik kırıklar, segmenter kırıklar, açık kırıklar, patolojik kırıklar, sistemik hastalığı olan hastalar, obez hastalar, kronik omuz-dirsek eklem hareketleri kısıtlı olan, alkol ve sigara alışkanlığı olan, osteoporotik hastalar psödartroza eğilimli hastalardır. Seçilen tedavi yönteminin uygulanışı ile ilgili teknik hatalar ve yetersiz takiplerde humerus kırıklarında psödartroz oranlarını artırmaktadır.

Humerus psödartrozlarının nedenleri mekanik ve biyolojik yönden bakıldığında diğer kırıklarda görülen psödartroz nedenleri ile benzerdir. Kırık bölgesinde engellenememiş hareket, kırık fragmanlar arasında ortadan kaldırılamamış mesafe, kanlanmanın bozulması gibi faktörler kaynamanın gerçekleşmemesine yol açar. Kaynama ancak psödartroz nedenleri ortadan kaldırılabildiğinde sağlanabilir. Kırık bölgesindeki hareketin önlenmesi rijit fiksasyonla sağlanabilir. Genellikle psödartroz bölgesinde kemik kalitesi daha önceki tedaviler nedeni ile iyi olmayacağından plak-vida veya intramedüller implantlarla stabil fiksasyon sağlamak zordur. Trotter ve Dobozi bu endişeden dolayı plak-vida fiksasyonunu medulla içine uyguladıkları kemik çimentosu ile güçlendirmeye çalışmışlardır. Yöntemin medülller kanlanmayı bozabilme, kemik çimentosunun psödartroz hattına sızarak kaynamayı olumsuz etkileme gibi dezavantajları vardır. İntramedüller implantlarda rotasyonel stabiliteyi ve humerus yük binen bir kemik olmadığı için psödartroz bölgesindeki mesafenin kapatılmasını sağlamak her zaman mümkün olmamaktadır. Taze kırıkların intramedüller implantlarla tedavisi sırasında bile kırık bölgesinde distraksiyon gelişebilir. Humerus psödartrozlarının intramedüller implantlarla tedavisinde uygulama tekniğine bağlı olarak subakromial sıkışma sendromu ya da dirsek problemleri ile karşılaştırılabilmektedir.

Kırık fragmanlar arasındaki mesafenin ortadan kaldırılması için açık redüksiyon ve internal fiksasyon (ARIF) her zaman dikkatli diseksiyon ve kimi zaman da çevredeki kallus dokusunun eksizyonunu ya da osteotomisi gerektirebilmektedir. Bu da kemiğin kanlanmasını sağlayan çevre yumuşak dokular ve radial sinir için sorun teşkil etmektedir. Psödartrozların tedavisi sırasında % 29’lara varan radial sinir lezyonları bildirilmiştir Böyle geniş diseksiyonlar derin enfeksiyon riskini de artırmaktadır. Nitekim Michiels ve ark. % 3.5 oranında derin enfeksiyon bildirmişlerdir.

Psödartroz tedavisinde başarının temel taşlarından biri de bölgede kanlanmanın korunması veya yeniden sağlanmasıdır. Humerusun kanlanmasını sağlayan nutrisyonel arterlerin brakial arterden ayrılarak humerus 1/3 orta-distal bileşkesinden kemiğe girdiği hatırlandığında, yapılacak geniş diseksiyonların zaten kanlanmayı olumsuz etkileyeceği tahmin edilebilir.

Modabber ve Jupiter, humerus kırık veya psödartrozlarının tedavisinde plak-vida uygulamasının uzun bir insizyon gerektirdiği için daha az kozmetik olması, periosteal dolaşımı bozması, iyatrojenik sinir lezyonu riski olması, kan kaybına yol açması gibi dezavantajları olduğunu vurgularken, Foster ve ark. plak-vidanın çıkarılması için ikinci bir operasyon gerektiğini, Grade III açık kırıklarda % 50’ lere ulaşan enfeksiyon insidansına sahip olduğunu bildirmişlerdir. Ayrıca, intramedüller implantlar için Modabber ve Jupiter uygulama tekniğine göre (antegrad-retrograd) omuz veya dirsek eklem problemleri, sinir lezyonu riski, kırık oluşturma riski, endosteal kanlanmanın bozulması, enfeksiyon varlığında bunun tüm humerusa yayılma olasılığı, çıkarılması için problemlere açık ikinci bir cerrahi girişimin gerekmesi, deformite veya kanalın kapalı olduğu durumlarda uygulanmasının hemen hemen mümkün olmaması gibi dezavantajları olduğunu belirtmişlerdir.

Humerus psödartrozlarının pek çoğunun deplasman, angulasyon, üst üste binme, kötü pozisyonda kaynamış fragmanlar içeren deformitelerle birlikte olması bir kısmında segment kaybı ya da kısalık olması, pek çok psödartroz olgusunda rutin kullanımda olan cerrahi tedavi yöntemlerinin başarı ve uygulanabilirliğini oldukça kısıtlamaktadır. Ayrıca, humerus psödartrozu enfekte ise çoğu tedavi yöntemi kontrendike olmaktadır ya da önce enfeksiyonu ortadan kaldırmaya yönelik debridman, ölü kemik dokularının eksizyonu, irrigasyon sistemleri ve lokal antibiyotik uygulamaları gibi zor, zahmetli ve uzun girişimler gerekmektedir. Ilizarov yöntemi ile osteoporotik kemiklerde bile güçlü ve rijit fiksasyon sağlamak mümkündür. Ilizarov uygun stabilite, yeterli kanlanma ve fonksiyonel kullanımın bulunduğu durumlarda kırık bölgesindeki kallusun gerilme etkisiyle prolifere olma yeteneği olduğuna inanmıştır. Kırık ya da psödartroz bölgesinde yapılacak kontrollü distraksiyon-kompresyonların kallus volümünü arttırdığı gösterilmiştir.

Ilizarov yöntemi deformitenin, enfeksiyonun, segment kaybı ya da kısalığın ve omuz ya da dirsek ekleminin hareket kısıtlılığının eşlik ettiği olgularda diğer tedavi yöntemlerine açık üstünlükler sağlamaktadır. Transosseöz tespit yöntemi ekstremite fonksiyonunu yeniden düzenler, artan damarlanma ile lokal doku beslenmesi ve osteogenez uyarılmış olur. Ilizarov, mekanik yüklenme sayesinde damarlanmanın ve doku beslenmesinin artmasıyla, tedavisi oldukça güç olan hipertrofik ve enfekte psödartrozların güvenilir bir şekilde iyileştiğini göstermiştir. Bu cihaz, deformite varlığında menteşeler yardımıyla tam düzelme elde edilene ve psödartroz tamamen iyileşene kadar adeta “cerrahın kemiğe her an hakim olabildiği elleri” olmaktadır. Takipler sırasında kaynamanın yeterince hızlı olmadığı olgularda kontrollü kompresyon-distraksiyonla kallus proliferasyonu uyarılabilmektedir. Schatzker’e göre modern kırık tedavisi, fonksiyonu kaybetmek pahasına psödartrozu kaynatmaya odaklanmamalı, aynı zamanda yumuşak doku ve çevre eklemlerin fonksiyonlarının restorasyonunu da temel prensiplerden olmalıdır. Uzun süreli immobilizasyon eklem kıkırdağında atrofi yaparken, kapsül ve ligamanlarda kontraktürler, eklem içinde ise yapışıklıklar oluşturur. Tüm bunların önlenmesi için tek çözüm erken hareket sağlamaktır. Plak-vida uygulaması veya intramedüller implantlarla ne kadar rijit fiksasyon sağlanırsa sağlansın, pratikte yine de bir süre immobilizasyon uygulandığı bilinmektedir. İlizarov yöntemi, bu yönüyle de diğer yöntemlerden oldukça üstündür. Postoperatif birinci günden itibaren aktif-pasif eklem hareketlerine olanak sağlamakla kalmayıp, yük taşıma dışındaki temel fonksiyonel hareketler de yapılabilmektedir.

Psödartroz tedavisinde alt ekstremitede kaynama elde edilmesinin yanında kemik boylarının da eşitlenmesi amaçlanır. Buna karşın humerus diafiz psödartrozlarının tedavisinde 4-5 cm’ ye kadar olan ekstremite uzunluk farkları kabul edilebilir sınırlardadır; fonksiyonel ve kozmetik yönlerden morbidite oluşturmaz. Ring ve ark. defektleri kortikospongiöz otogreft ve dinamik kompresyon plağı ile köprülemişlerdir. Buna karşın defekt rekonstruksiyonunun hastaların fonksiyonlarına istatistiksel açıdan anlamlı bir etkisi olduğuna değinmemişlerdir.Ortalama 2.4 (1-5) cm tespit edilen kısalığın fonksiyonlarını ve kozmetik görünümlerini etkilemediği görüldü. Bu nedenle 5 cm’ ye kadar olan defektlerde monofokal girişim yapılmasının hem tedavi süresini hem de sonucunu olumlu yönde etkileyeceğini düşünmekteyiz. Buna karşın 6 cm ve üzerindeki defektlerde bifokal kompresyon distraksiyon uygulaması ile humerus uzunluğunun da restorasyonu sağlanabilir. Gür ve ark. humerus psödartroz tanısı ile İlizarov sirküler eksternal fiksatör uyguladıkları 9 olgunun sekizinde kaynama sağlamışlar, konvansiyonel metodlarla tedavi ettikleri humerus psödartrozlarında sıkça gördükleri dirsek ve omuz eklem hareketlerindeki kısıtlılıkları görmediklerini, yöntemin güvenli ve etkili olduğunu vurgulamışlardır. Lammens ve ark. altısı enfekte 30 humerus psödartrozu olgusunu İlizarov eksternal fiksatör ile tedavi etmişler, 28 olguda (% 93.3) ortalama 4.5 ayda kaynama sağlamışlardır. İlizarov eksternal fiksatörü ile sağlanan güçlü fiksasyonun daha iyi fonksiyon ve kabul edilebilir süreler içinde önemli komplikasyon yaşanmaksızın solid kaynama sağladığını bildirmişlerdir. Çerçeve çıkarıldıktan sonra 4 olguda refraktür gelişmiş ve İlizarov eksternal fiksatör sistemini tekrar uygulamaları gerekmiştir.

Yöntemin dezavantajlarından çerçevenin ağır olması karbon halkaların kullanılması ile azaltılabilir. Tedavi edilen hastalarda karbon halkalar kullanıldı. Böylece hasta daha konforlu olurken, radyolojik kontrollerde de kaynama çok daha iyi gözlendi. Eksternal fiksasyon uygulamalarında sıkça karşılaşılan tel-çivi yolu enfeksiyonları, uygun uygulama teknikleri ve titiz çivi dibi bakımı ile azaltılabilir. Sonuç olarak ortopedik cerrahlar için her zaman zor ve sorunlu olan humerus psödartrozlarının tedavisinde Ilizarov yöntemi klasik yöntemlere birçok üstünlükler sağlamaktadır. Tedavinin birinci gününden itibaren kişinin fonksiyonel hale gelebildiği, tedavi süresince “cerrahın ellerinin her zaman kırığa hakim olmasını sağlayan” Ilizarov eksternal fiksatör uygulamasının klasik humerus psödartrozlarında, kısa kaynama süresi ve düşük komplikasyon oranları ile, daha invazif klasik yöntemlere önemli bir alternatif oluşturduğu, ayrıca deformite, enfeksiyon, defekt varlığı, kısalık ya da eklem hareket kısıtlılıklarının eşlik ettiği sorunlu humerus psödartrozlarında ise alternatifsiz bir tedavi yöntemi olduğu kanısındayız.

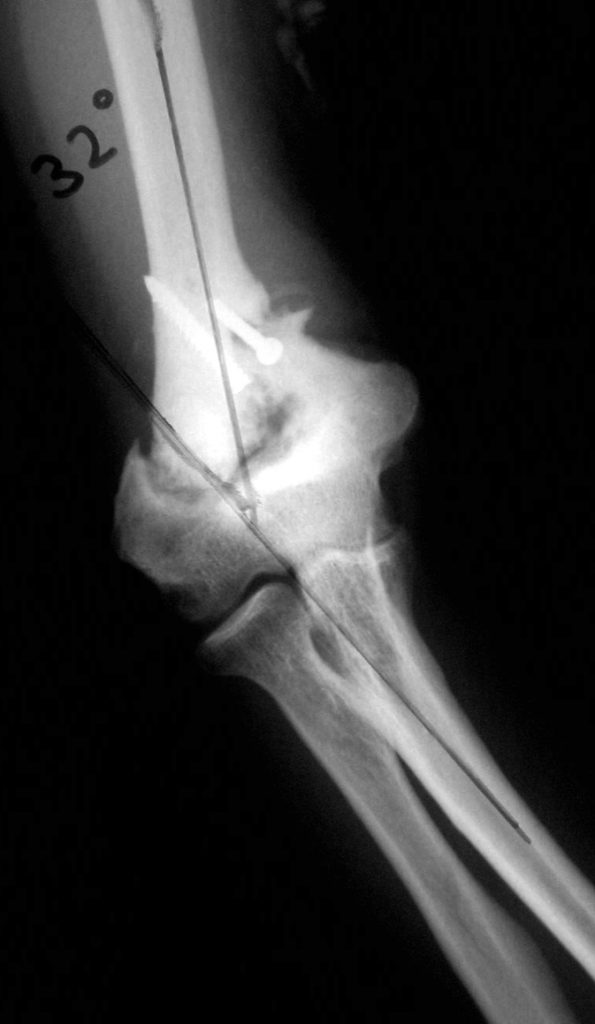
Vaka 1
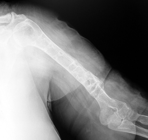
Vaka 2
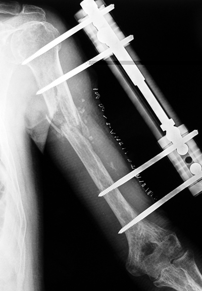
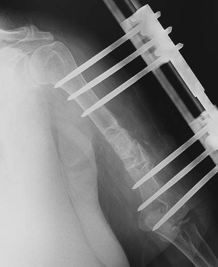
Vaka 3
Humerus-Psodartrozu.pdf