Femur Osteomyelit

Kas ve iskelet sistemi enfeksiyonları, sık karşılaşılan bir sorundur. Yeni evreleme sistemleri, gelişmiş cerrahi teknikler, ve hiperbarik oksijen tedavisi gibi destek tedavileri sayesinde kronik osteomiyelit tedavisi son 20 yıl içinde büyük ölçüde değişmiştir.

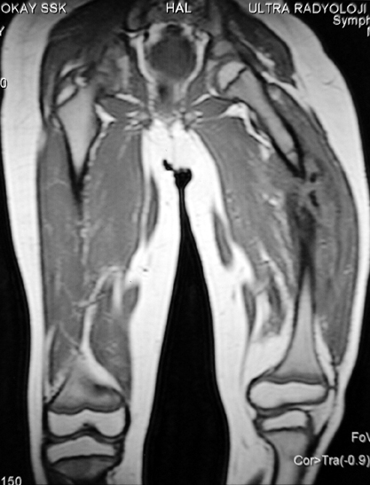
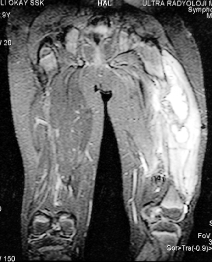
Kronik osteomiyelit, kemik ve yumuşak dokularda nekroza yol açar. Ölü kemik, patojen mikroorganizmalara ev sahipliği yapan bir nidus oluşturur. Konağın savunma sistemleri, mikroorganizmalarla baş etmek için sıklıkla optimal koşullarda değildir. Dolaşım bozukluğu yüzünden enfeksiyon bölgesine antibiyotikler yeterince ulaşamaz. Bu nedenle ölü dokuların ortamdan tamamen uzaklaştırılması gerekir (radikal debridman).

Uygun radikal debridman tüm nekrotik kemik ve yumuşak dokuların çıkartılmasını gerektirir, ve sıklıkla uzuvda instabiliteye neden olur. Kalan kemik ve yumuşak doku defektinin bir şekilde fiksasyonu ve rekonstrüksiyonu gereklidir. İlizarov’un ortaya koyduğu distraksiyon osteogenezi yöntemi, kaynamanın elde edilmesi, deformitenin düzeltilmesi, bacak boy eşitsizliğinin giderilmesi ve segmental defektlerin rekonstrükte edilmesi için başarıyla kullanılmaktadır.

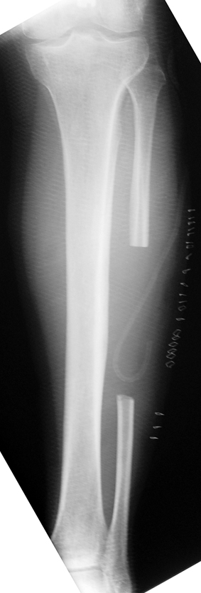
Eksternal fiksatör ile geçen süre (eksternal fiksasyon indeksi), gereken distraksiyon miktarına bağlıdır ve bu süre boyunca bazı komplikasyonlarla karşılaşılabilir. Distraksiyon dönemi sona erdikten sonra, distraksiyon süresinin iki katını aşan konsolidasyon döneminde hastalar eksternal fiksatörü zorlukla tolere edebilirler. Yeterli konsolidasyon sağlanmadan eksternal fiksatör çıkartılırsa ise kırıklar, deformite ve kısalık oluşabilir. Hastanın fiksatör ile birlikte geçirdiği sürenin azaltılması ve böylece hasta konforunun ve aktivite düzeyinin arttırılması için intramedüller çivi üzerinden uzatma yöntemi uygulanmaktadır. Bu yöntemde distraksiyon dönemi sona erdiğinde kemiğin içindeki çivi statik olarak kilitlenmekte ve eksternal fiksatör çıkartılmaktadır. Stabilizasyon intramedüller çivi tarafından sağlandıktan sonra konsolidasyon dönemi gerçekleşmektedir. Bu şekilde hem eksternal fiksatörün uzun süre kalmasından hem de erken çıkartılmasından kaynaklanan komplikasyonların önüne geçilmektedir.

Vaka 1
Vaka 2
Vaka 3
JBJS-Osteomyelit-2007-Suplament.pdf