Boy Uzatmada Yeni Bir Yaklaşım

Alt ekstremite (uzuv) uzunluk farklılığı kozmetik bir problem olmaktan öte fonksiyonel ortopedik sorunlara neden olur. Gerek frontal plandaki denge bozukluğuna bağlı yürüme paterni değişiklikleri, gerekse aksiyel iskelette ortaya çıkan dejeneratif bozukluklar nedeni ile ortopedistler bu patolojinin tedavisi ile yakından ilgilidirler.

Alt ekstremitedeki uzunluk farklarının tedavisi, ortopedi dünyasında çok uzun yıllardan bu yana tartışmalı, olası komplikasyonları (yan etkileri) nedeni ile zaman zaman cerrahlarca çok sıcak bakılmayan bir konu olmuştur. Tedavi konusunda ortopedi tarihinde değişik tedavilerin seçkin olduğu çeşitli dönemler birbirini izlemiştir. Bu tedavi yöntemlerinden biri olan uzatmalar önceleri sıkça uygulanmış komplikasyonları ortaya çıkınca güncelliğini yitirmiş, daha sonra teknolojik gelişmelere paralel olarak yeniden güncellik ve yaygınlık kazanmışlardır. 1905 yılında Codivilla ilk alt ekstremite uzatma yöntemini yayınlamıştır.

Uzatmanın tek seansta yapılmasına bağlı ağrı, kontraktürler, avasküler nekroz, nörovasküler (damarsal-sinirsel) problemler gibi komplikasyonlar sıkça gözlenmiştir. Bu komplikasyonlardan kaçınmak için sağlam tarafın kısaltılması görüşü ortaya atılmıştır. Bu görüş çerçevesinde 1933 yılında Phemister ve arkadaşları sağlam alt ekstremitede epifizyodez (büyüme kıkırdağının haraplanması) tekniğini yayınlamışlardır. Akut uzatma ilkesine dayalı cerrahi teknikler 1970’li yıllardan sonra Wasserstein tarafından tarif edilmiştir. 1970’ lerde Winquist, Hansen ve Pierson sağlam alt ekstremitenin kısaltılması osteotomilerini (kemiğin boyunun kısaltılması) tanımlamışlardır. Yine 1970’ li yıllarda eski Sovyetler Birliği’ nde İlizarov’un önderliğini yaptığı distraksiyon osteogenezisi (kemiğin uygun ortamlarda günlük ortalama 1mm gerilmesi ile aradaki boşluğun yeni kemik yapımı ile dolması prensibi) kavramı ortaya çıkmıştır. Bu ülkede İlizarov ve arkadaşları, İtalya’da Monticelli ve Spinelli sirküler, yine İtalya’da De Bastiani ise unilateral eksternal fiksatör kullanarak yapılan tedrici uzatma tekniklerini tanımlamışlar ve uygulamışlardır.

Günümüzün modern hayat koşulları tüm tedaviler için olduğu gibi ekstremite uzatmalarında da mümkün olduğu kadar konforlu bir postoperatif (ameliyat sonrası) takip süresini ve kısa bir hospitalizasyon (hastahanede kalış süresi) dönemini cazip kılmaktadır. Bu gereksinimler doğrultusunda ekstremite uzatma yöntemlerinde yeni arayışlara başlanmıştır. Millis ve Hall’un tanımladıkları Salter osteotomisi benzeri bir innominat osteotomi ile, Winquist ve arkadaşlarının tarif ettikleri kısaltma osteotomisi bu arayışların ürünüdür. Ancak bahsedilen bu yöntemler gereksinimleri tam anlamıyla karşılayamamışlardır. Devam eden çalışmalar sonucunda 1985’te Kempf ve Grosse, 1997’de Paley ve arkadaşları bugüne kadar bilinen hasta için en konforlu ve hospitalizasyon süresinin en kısa olduğu tekniği tanımlamışlardır. Bu teknik Türkiye’de de ilk defa 1997 yılında Dr.Mehmet Kocaoğlu ve Dr.Mehmet Çakmak tarafından Istanbul Tıp Fakültesi Ortopedi ve Travmatoloji Kliniği’ nde uygulanmıştır. Halen de başarı ile uygulanan bu tekniğin ayrıntılı tekniği aşağıda gösterilmiştir.

1. Adım:

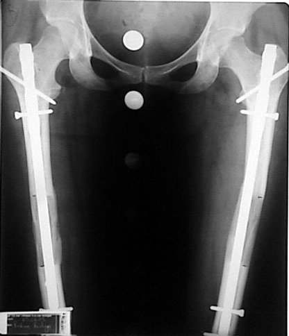
İntramedüller çivinin yerleştirilmesi ve osteotomi: Hasta traksiyon masasına supin pozisyonda yatırılır ve sağlam bacak altta olacak şekilde bacaklar makas pozisyonuna alınır. Standart yolla piriformis çukurundan medulla içine girilir ve kılavuz tel üzerinden kullanılacak çividen 1.5 mm daha kalın oyucu ile medulla oyulur. Proksimal femur, çivinin proksimali daha kalın olduğu için daha kalın oyulur. Radyografide osteotomi hattı planlaması yapılır. Planlama yapılırken uzatma sonunda distalde en az 8 cm. çivi kalması stabilizasyon için gereklidir. Kortikotomi perkütan olarak kortikotom ile tamamlanır. Daha sonra kılavuz tel çivinin boyunu ölçmek için distale ilerletilir. Uygun boyda intramedüller çivi çakılır. Son olarak çivi proksimalden kilitlenir ve bir adet dren konarak ameliyatın birinci kısmı tamamlanır.

2. Adım:

Eksternal fiksatör uygulanımı: İntramedüller çiviye değmeden aşağıya ve yukarıya üçer adet Schanz vidası gönderilir. Vidalarla çivi arasında en az 1 mm den fazla mesafe olmalıdır.

3. Adım:

Postoperatif Bakım: Distraksiyona (Kemik parçalarının arasının birbirinden uzaklaştırılması yöntemi) 10. günde başlanır. Günde 4 defa 6 saatte bir 0.25mm uzatma yapılır. Operasyondan 1-2 gün sonra kalça ve diz çevresi hareketlere başlanır. Alt ekstremite kısalıklarının tedavisi uzun yıllar boyunca hem hasta hem de cerrah için zorluklarla dolu olmuştur. İlizarov’un distraksiyon osteogenezisi kavramını tanımlamasından sonra geliştirilen teknikler bu konuda yeni bir çağın öncüleri olmuşlar ve daha önceki yıllarda görülen komplikasyonların oldukça azaldığı uygulamalar olarak anılmışlardır.

Günümüzde ekstremite uzatma uygulamaları için tercih edilecek yöntemde aranan en önemli özellikler şöyle sıralanabilir; uygulama süresi, “alignment” (kemiğin anatomik ve mekanik aksı) sağlama , toplam ameliyat sayısı, rejeneratın refraktürden korunabilmesi, çivi dibi infeksiyonu ve sebep olabileceği komplikasyonların asgari miktarda tutulması, hareket açıklığının korunması, “iyileşme zamanı “, günlük hayattaki konfor ve uygulama maliyeti.

Biz son zamanlarda, seçilmiş vakalarda, uzatma sonrası uzunluğu ve “alignment’ı” korumak amacı ile unilateral dinamik aksiyel fiksatör ve kilitli intramedüller çivi kombinasyonunu tercih etmekteyiz. Bu yöntemin ön şartları medullanın en dar çapının 7 mm.’den geniş olması ve uzatma sonrası distalde en az 8 cm. uzunluğunda çivi kalabilmesidir. İntramedüller çivi hem uzatma esnasında femurun üzerine gelen makaslama ve bükülme kuvvetlerini nötralize etmekte hem eksternal fiksasyon süresini kısaltmakta, hem de yeni oluşan kemiği kırıklara karşı korumaktadır. Serimizde bir vakada subtrokanterik femoral osteotomi yapılmıştır. İntramedüller çiviye rağmen varus angulasyonu oluşması yönünde bir dezavantaj tespit etmedik.

İlizarov, distraksiyon osteogenezisi için endosteal kan dolaşımının önemini vurgulamıştır. Biz tüm vakalarımızda femuru oyarak intramedüller çiviyi çaktık; buna rağmen hiçbir vakada kallus oluşma süresi tahminimizden daha uzun olmadı. Bu yüzden medüller dolaşımın bozulmasına bağlı yeni kemik oluşma hızında bir yavaşlama olmadığını düşünüyoruz. Oyma sonrası meydana gelen revaskülarizasyon, intramedüller çivili fiksasyon stabilitesi ve erken fonksiyonel yüklenme bu gerçeğin temelini oluşturmaktadır. Eksternal ve internal fiksasyon yöntemlerinin kombine kullanımının potansiyel dezavantajları kan kaybının artması, intramedüller infeksiyon, yağ embolisi olasılığı ve aşırı metal yüküdür. Bunların içinde en çok korkulan problem bir çivi dibi infeksiyonun tetikleyeceği derin intramedüller infeksiyondur (panosteomyelit). Bizim serimizde bu yönde hiçbir komplikasyon gelişmemiştir. Bu olası komplikasyonun önlenmesi amacı ile uzatma sonundaki kilitleme medialden yapılmalıdır; ayrıca intramedüller çivi ve eksternal fiksasyon pinlerinin teması önlenmelidir.

Çocuklarda intramedüller çivi üzerinden uzatmanın bir diğer komplikasyonu olarak çivinin giriş yeri nedeni ile büyük trokanter apofizinin zedelenmesi ve sekonder koksa valga deformitesinin gelişmesi gösterilmektedir. Serimizdeki vakaların biri hariç tümü iskelet matüritesine erişmişlerdir. Oniki yaşında olan bir hastamızda son kontrolde koksa valga deformitesi saptanmamıştır. Vaka, halen takip edilmektedir.

Örnek sayılarının az olmasına rağmen etyolojik faktör, yaş, patolojinin yerleşim yeri, miktarı gibi faktörler yönünden benzer iki grubu karşılaştırmayı amaçladık. Eşlik eden tibial uzatma, osteotomi yeri gibi ayrıntıları bu ilk çalışmada göz ardı ettik. Prospektif randomize karşılaştırmalı bioistatistik analiz yapmamız için örnek sayımız azdır. Bu çalışmanın sonuçları matematiksel olarak anlamlı istatistik veriler içermese de belirli bir tecrübenin aktarılması yönünde ülkemizdeki ilk ve tek örnek olduğuna inanıyoruz.

İntramedüller çivi ve eksternal dinamik aksiyel fiksatör kombinasyonu teknik olarak standart İlizarov uygulamalarından daha zordur. Ancak şu avantajlar yöntemi cazip hale getirmektedir; eksternal fiksasyon süresinde kısalma, refraktüre karşı korunma, erken rehabilitasyon, azami hareket genişliği kazanma ve günlük yaşam konforu. Bu avantajlar artan maliyet , artan kan kaybı ve potansiyel derin infeksiyon gibi dezavantajların önüne geçmektedir. Sonuç olarak, bulgularımızın eşliğinde, intramedüller çivi üzerinden femoral uzatma tekniğinin güvenilir ve dayanıklı bir metod olduğunu ve bizce standart İlizarov uygulamalarına üstünlük sağlayan avantajlar getirdiğini söyleyebiliriz.

Results Of Cosmetic Lower Limb Lengtheing
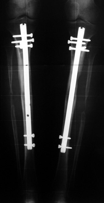
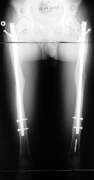
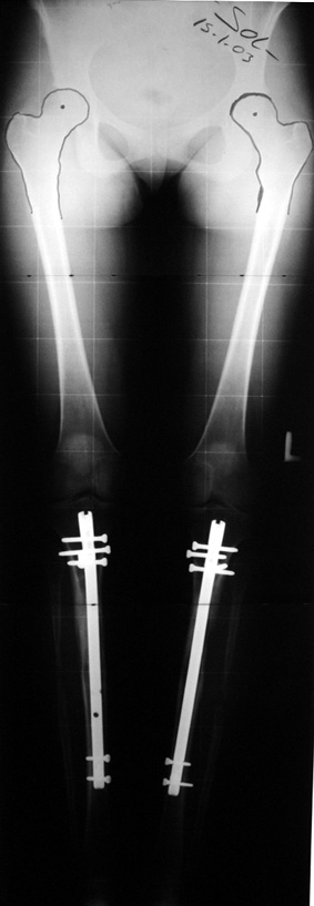
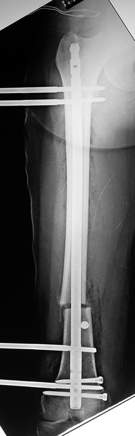
Vaka 1
Vaka 2
Vaka 3
Vaka 4
Vaka 5
Vaka 6