Posttraumatic Extremity Leg

EXTERNAL FIXATOR APPLICATIONS in POLYTRAUMATIZED PATIENTS
Dr. Mehmet KOCAOĞLU

The principles of polytraumatized patient care have changed enormously in the new millenium. As an orthopedic point of view, early and stable osteosynthesis, rapid mobilization, and agressive rehabilitation are major goals in order to prevent complications related to prolonged immobilization. New techniques in intramedullary nailing and the concept of biologic plating have permitted early mobilization of (poly)traumatized patients.

There are still some complex trauma patients, who cannot be managed ‘rapidly and securely’ by the above mentioned methods. Reconstruction of large bone and soft tissue defects resulting from high energy traumas, and reconstruction of intraarticular fractures are some points, which have to be solved by external fixation methods using the principles introduced by Ilizarov.

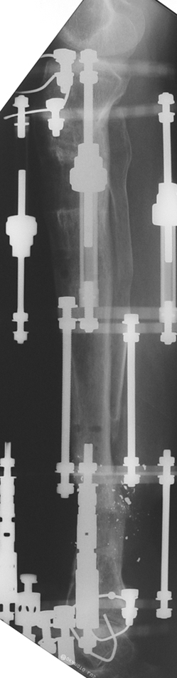
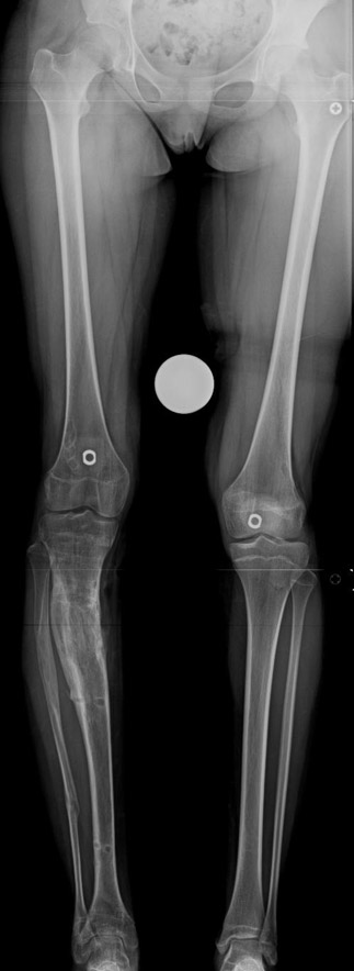
The bifocal compression technique described by Ilizarov, which consists of acute shortening and gradual distraction, allows acute shortening of 4-5 centimeters in tibial defects; defects exceeding this amount can be further shortened gradually by 3 millimeters per day. The same principle is also applicable to the femur, allowing an acute shortening of 8 centimeters. This method facilitates reconstruction of bony continuity and primary or delayed primary closure of soft tissue defects, which would would avoid the requirement for free flaps. A second corticotomy in the metaphyseal region may be used to restore the original length of the shortened bone and to increase it’s vascularity. Intramedullary osteosynthesis of intra-/periarticular fractures is a borderline indication. Open reduction and internal fixation of these fractures hazards the blood supply to (small) bone fragments by extensive dissection, and nonunion or infection is (iatrogenically) invited. In contrary, percutaneous or indirect reduction by limited dissection, small wire and percutaneous cannulated screw osteosynthesis, augmented by external fixation, provides a stable construction to allow early mobilization, range of motion exercises and sometimes partial weight bearing.

My preference in these cases is to use circular external fixators, which are modular, permit fixation of small reduction wires to the frame, and enable postoperative angular adjustments. Recently, combined techniques using external fixators and intramedullary rods have been introduced. The advantage of this method is to decrease the external fixation time by about 50% and to enhance the patient’s comfort.

Case 1
Case 2
Case 3
Case 4