Finger Lengthening

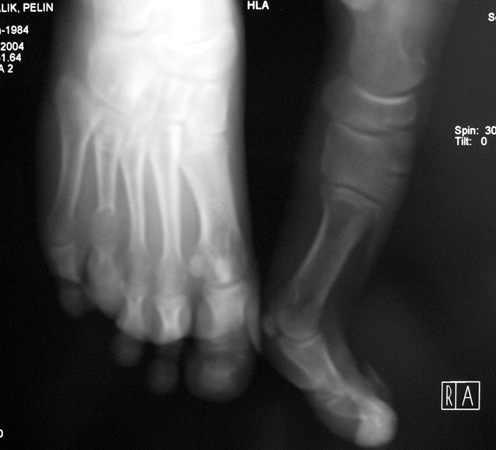
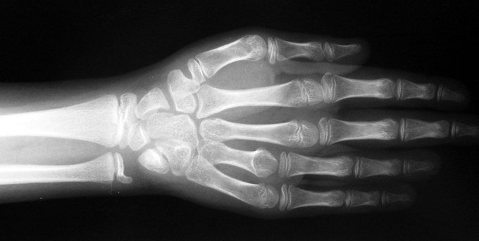
Finger (metacarpus) and toe (metatarsus) shortness can be seen congenitally as a single deformity or as a part of various syndromes; or after trauma or Freiberg disease (avascular necrosis). The frequency of congenital metacarpal or metatarsal shortness is less yhan 1/1000. It is seen 5 times more freqently in women and usually (72%) bilateral. Fourth finger is the most frequently involved. Although the cause of this problem is not known exactly, it is believed that the deformity is usually caused by early closure of the growth plate.

Surgical treatment may be required for metacarpal shortness because of cosmetic disturbance and fatigue in the dominant hand; and for metatarsal shortness because of cosmetic appearance, metatarsalgia, deformity due to dorsal shift of the short finger, pain and pressure ulcers due to plantar shift of the short finger, or difficulty in shoe wearing. Various techniques have been defined for the treatment of congenital metacarpal or metatarsal shortness. However, the most frequently used methods are acute lengthening with grafting, and distraction osteogenesis (callotasis). Callotasis method is preferred for lengthening more than 1 cm. In our department, we prefer distraction osteogenesis with unilateral or circular external fixator for lengthening of metacarpal and metatarsal bones.

Finger Lengthening PDF
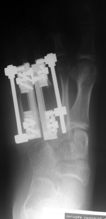
Case 1
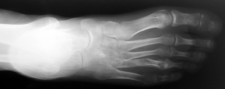
Case 2
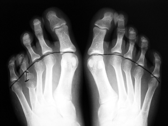
Case 3
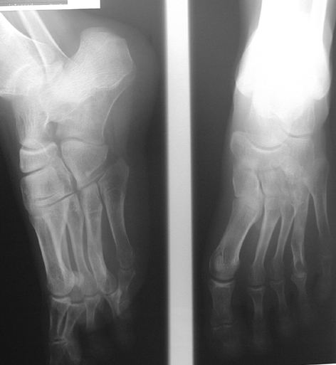
Case 4
Case 5