Neglected Hip Dislocation

Hip Reconstruction Osteotomy for the Treatment of Neglected High Dislocation of the Hip

When neglected, congenital hip dislocation leads to symptoms like pain, limb length discrepancy and limping at adolescence and adult age. Surgical treatment is required becaude of severe pain and limping. The two main treatment methods are total hip replacement and pelvic support osteotomy. The loosening risk of prosthesis is higher in young patients due to forces acting on the prosthesis. Thus, pelvic support osteotomy is considered to be an important treatment method.

The aims of treatment in neglected congenital hip dislocation are correction of limping, which is a result of abductor insufficiency, elimination of limb length inequality, correction of lumbar lordosis and increasing abduction range.With the hip reconstruction osteotomy that is described by Ilizarov, abduction range is increased by giving an abduction effect to the hip, and femur is supported at the pelvis. In addition, limb length inequality and valgus at the knee are corrected with another osteotomy performed at a more distal location on the femur. As a result, the mechanical axis passes through the point of pelvic support. A circular external fixator with 3-4 rings is used fort his technique.

Figure 1. 18 year old female patient with neglected hip dislocation on the right side, and acetabular displasia on the left side. There is 8 cm. shortness on the right lower extremity.

Figure 2. Preoperative photograph of the patient at Trandelenburg position.

Figure 3. Preoperative anteroposterior orthoroentgenogram of the patient

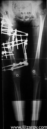
Figure 4. Anteroposterior orthoroentgenogram during treatment

Figure 5. Early AP orthoroentgenogram of the patient after removal of the fixator

Figure 6. Postoperative standing photograph showing that limb length discrepancy is eliminated

Figure 7. Postoperative photograph of the patient at Trandelenburg position

Figure 8. Range of motion of the hip joint at 5. year postoperatively

Figure 9. Anteroposterior orthoroentgenogram at 5. year postoperatively

Case 1