Tibia Pseudartrhrosis

January 3, 2017

Pseudarthrosis

Pseudarthrosis of fracture and pseudarthrosis treatment is currently important problem for orthopedic surgery. Various treatment modalities have been described for pseudarthrosis treatment. All of the treatment methods include high complication rates and additional problems. Leg-length discrepancy, deformity and soft-tissue loss and chronic infection can concomitance with pseudarthrosis. Many internal or external fixation techniques have been described for pseudarthrosis.

Debridement and resection of bone fragment from the pseudarhtosis area vascularized or nonvascularized fibula graft, vascularized muscle flaps, bone grafting followed internal fixation techniques make a option for treatment of pseudarthrosis treatment. But these treatment modalities may not correct deformity and leg-length discrepancy.

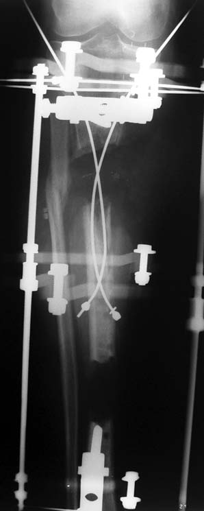
Recently, ilizarov techniques which is basis depend on distraction osteogenesis , bone segment transport or acute shortening after the resection at the site of pseudarthrosis combined with lengthening at another level of bone have been used. These treatment techniques may include some advantage for problems of infection, leg-length discrepancy, soft-tissue loss, and joint contracture.

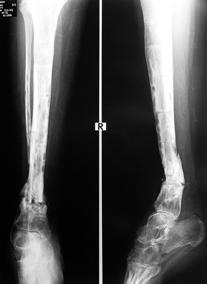
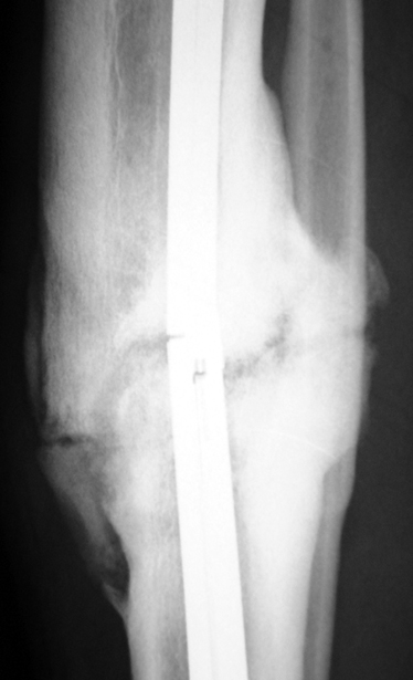
Case 1
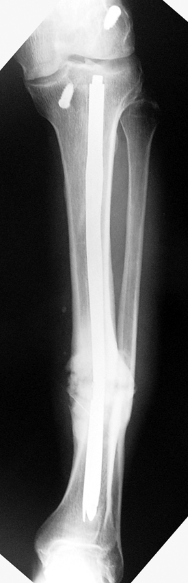
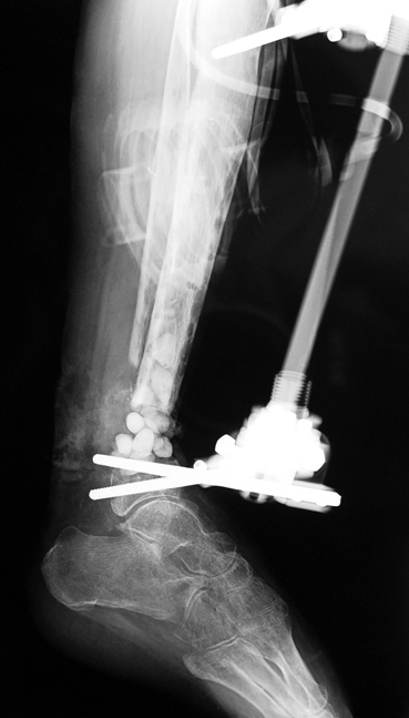
Case 2
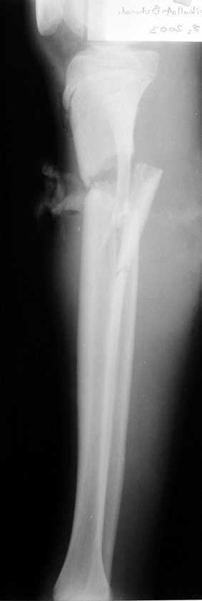
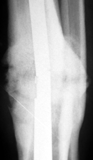
Case 3



Management of Stiff Hypertrophic Nonunions by Distraction Osteogenesis – A Report of 16 Cases

Tibial nonunion

(JBJS) Nonunion 2006