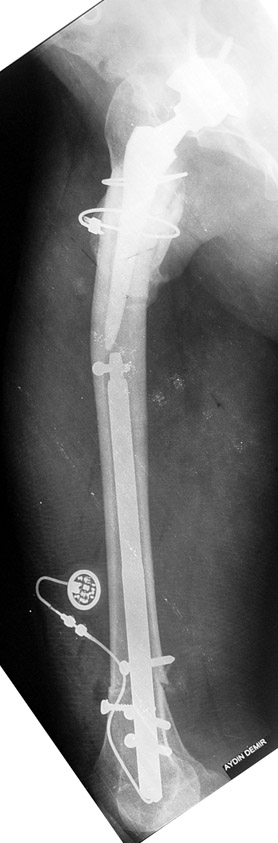
Motorized Intramedullary Nail

(Motorized bone bone lengthening) Fitbone surgery

A new form of surgery, involving a fully implantable, electronically-motorised limb-lengthening device, called “Fitbone”, improves on several weaknesses of the ISKD method, and is the most technologically advanced option thus far. Nevertheless, this technology has not been submitted for FDA approval in the USA.

Developed in Germany by Augustin Betz and Rainer Baumgart, the first successful operations were performed in 1996 and the technique was patented in 1997. Thus far, most of the surgeries using this method have been performed in Munich, Germany by Baumgart and Peter Thaller. The first successful surgeries in Asia have been performed since 2001 by Dr Sarbjit Singh in Tan Tock Seng Hospital, Singapore, and Dr Sittiporn, Bumrungrad Hospital, Bangkok. In December 2005 Fitbone surgery was done in Malaysia at the Mahkota Orthopaedic Reconstruction and Limb Lengthening Center, Melaka by Thirukumaran Subramaniam and Jeyaratnam T Satkunasingam. Dr. Bruce Foster of Adelaide, Australia, chairman of the “Bone Growth Foundation” — a charity established with the aim of helping children with crippling bone growth problems — is currently the only surgeon that uses the “Fitbone” device in the southern hemisphere.

Since 2005 Dr. Mehmet KOCAOGLU is the first most Fitbone operating surgeon in TURKEY. He established the center of excellence for Fitbone surgeries in Istanbul. Fitbone comprises a telescopic nail implant that can extend, powered by an electric motor and controlled by a receiver with an antenna that is buried under the skin; the receiver in turn is controlled by a hand-held radio-frequency transmitter. The procedure for lengthening the lower leg is as follows:

A two-centimetre incision is made at the patient’s knee, and a rimmer is used to create enough space in the bone for a stainless steel nail.

The bone is cut about 14 cm below the knee from the inside with an internal saw. The stainless steel nail is held in place by two screws. The top of the nail is attached to a tiny, plastic-encased receiver that is placed under the skin. The patient controls the lengthening process. By pushing a button on the transmitter when it is placed against the antenna, the built-in motor extends the nail one millimetre per day. When the leg has grown to the desired length, lengthening stops, and the bone is allowed to solidify. The device can be removed about two years after the initial surgery. This procedure, however, comes at a price. While the Ilizarov external fixator costs approximately USD$4,000, and the ISKD implant about USD$8,000, the Fitbone device carries a price tag of roughly USD$15,000 (all prices exclusive of surgery costs).

Possible uses of distraction osteogenesis

Although distraction osteogenesis is most often used in the treatment of post-traumatic injuries, it is increasingly used to correct limb discrepancies caused by congenital conditions and old injuries. A list of the possible uses of distraction osteogenesis is as follows: Congenital deformities (birth defects): Congenital short femur; Fibular hemimelia (absence of the fibula, which is one of the two bones between the knee and the ankle); Hemiatrophy (atrophy of half of the body); and Ollier’s disease. Developmental deformities Neurofibromatosis (a rare condition which causes overgrowth in one leg); and Bow legs, resulting from rickets or secondary arthritis. Post-traumatic injuries Growth plates fractures; Malunion or non-union (when bones do not completely join, or join in a faulty position after a fracture); Shortening and deformity; and Bone defects. Infections and diseases Osteomyelitis (a bone infection, usually caused by bacteria); Septic arthritis (infections or bacterial arthritis); and Poliomyelitis (a viral disease which may result in the atrophy of muscles, causing permanent deformity). After tumors Short stature Achondroplasia (a form of dwarfism where arms and legs are very short, but torso is more normal in size); and Constitutional short stature.

Cosmetic lengthening of limbs

Generally, doctors tend to discourage cosmetic lengthening for people who want to add a couple of inches to their frames because such people are: breaking perfectly functional limbs; confining themselves unnecessarily to crutches or a wheelchair for over a year; voluntarily subjecting themselves to pain and discomfort; exposing themselves to unnecessary risk of infections, of damaged nerves and blood vessels, and fat embolism that can result in death; and Incurring unnecessary expenses as the procedure is relatively expensive. People insistent on doing the procedure, however, are required by some doctors to undergo a thorough body image assessment by a psychologist to help determine how far the person’s quality of life has been affected by his perceived lack of height, and if doing the surgery will make a marked difference. The entire evaluation, which includes in-depth doctor-patient discussions, usually takes months during which time, the doctors hope that their patients will change their minds.

Post-surgical care

Following the initial surgery, patients must undergo a demanding physiotherapy regime comprising stretching exercises and at times, they may be required to be hooked up to a “continuous passive motion” device. The purpose is to avoid stiffness and to stimulate the muscles, nerves and blood vessels to grow alongside the bone. Patients are often prescribed painkillers and are unable to work while undergoing rehabilitation.





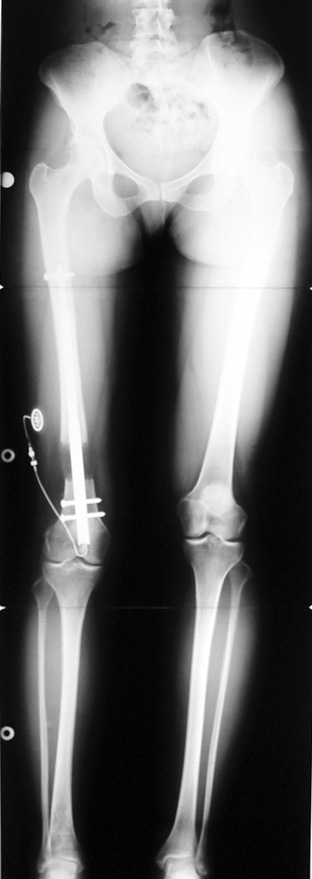
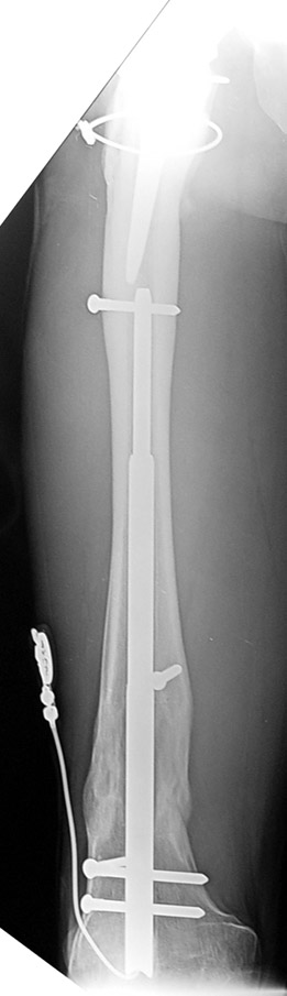
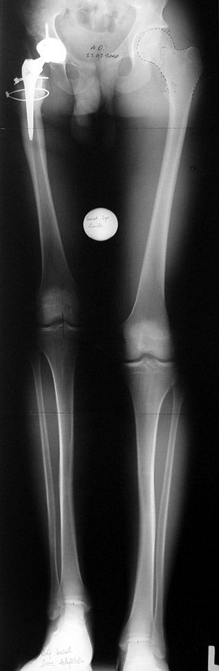
Case 1
Case 2