Foot Deformities

Complex foot deformities can ocur after trauma, neglected or relapsed clubfoot, poliomyelitis, osteomyelitis, burn contracture, neuromuscular diseaes and similar disorders. When treating this deformity with wide soft tissue releases, osteotomies and arthrodesis, there are disadvantages such as the risk of neurovascular injury, soft tissue problems and shortening of the foot. Besides, treating previously operated cases is even harder.

The aim of treatment in foot deformities is to acquire painless and fuctional foot which is plantigrade and at normal size. With the Ilizarov method, correction is planned in 3 planes and performed at a rate depending on the type and degree of the deformity. The deformity is corrected without shortening of the foot, with minimal surgical morbidity and the rate and direction of correction is controlled by the surgeon.

Using the Ilizarov method, foot deformities can be corrected either with or without osteotomy. The system without osteotomy corrects deformities through joints. This technique can be used in patients smaller than 8 years of age and without fixed bony deformity. For patients older than 8 years of age with fixed bony deformity and patients with neuromuscular diseases, in whom maintaining soft tissue correction is very hard, osteotomy is required.

If there is no coexisting deformity, the duration of external fixation depends on the type of defornity and the correction method (with o without osteotomy) of the foot. If the deformity is associated with other lower limb problems such as shortness, the duration of treatment depends on the secondary procedures rather than correction of the foot deformity.

Acute tarsal tunnel syndrome and early union/insufficient osteotomy are amongst possible complications of surgical correction of foot deformities.

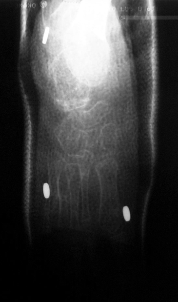
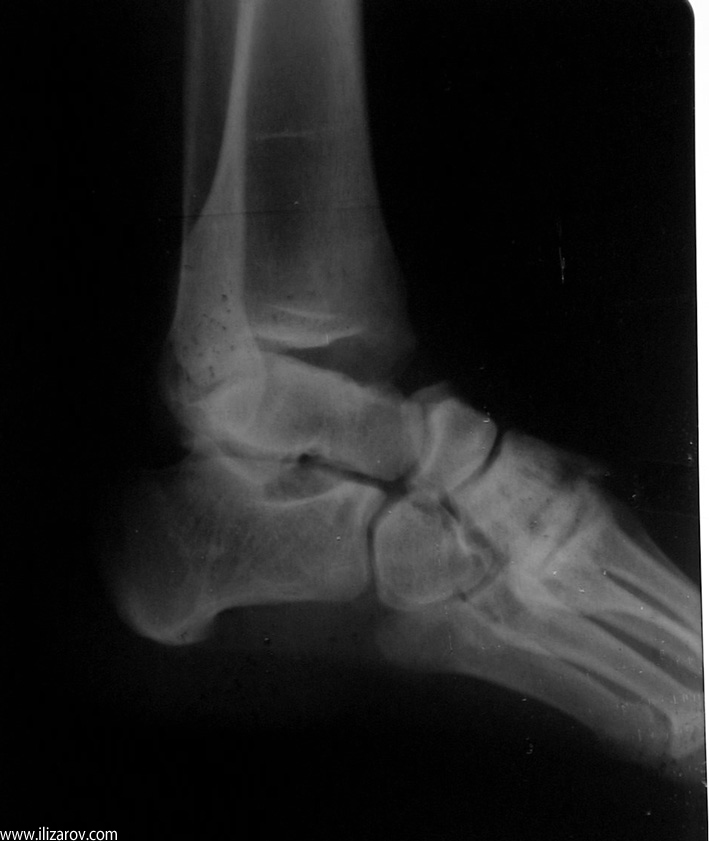
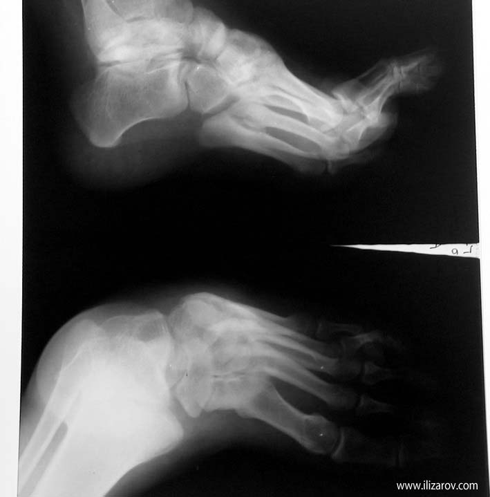
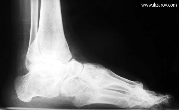
Case 1
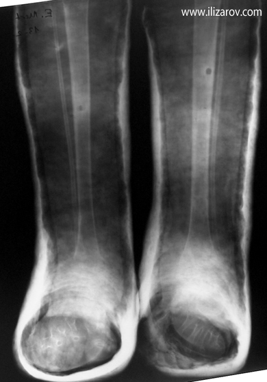
Case 2
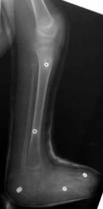
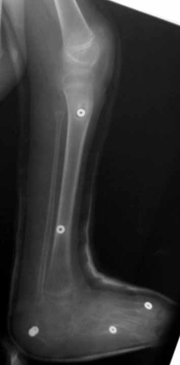
Case 3
Case 4
Case 5
foot_correction-of_complex_foot_deformities_by_Ilizarov.pdf