A New Approach for Limb Lengthening

Lower limb length discrepancy is more than just a cosmetic problem; it leads to functional orthopedic problems. Orthopedic surgeons are very interested in the treatment of this pathological condition because imbalance at the frontal plane causes changes in walking pattern, and it also causes degenerative changes at the axial skeleton.

The treatment of lower limb lingth discrepancy has been controversial in the orthopedic world for many years, and has been avoided from time to time due to possible complications. There has been a succession of periods when different treatment methods were favored. Limb lengthening was one of those methods and had been applied frequently in the past, but had lost its popularity due to complications. Later, in parallel with technologic advancements, limb lengthening regained its popularity. Codvilla introduced the first technique for lower limb lenthening in 1905.

Because lengthening was performed in one session, complications like pain, contractures, avascular necrosis, neurovascular problems were frequent. In order to avoid these complications, the concept of shortening of the uninvolved extremity was introduced. Conforming with this concept, Phemister et al published the technique for epiphysiodesis (damaging of the growth plate) of the uninvolved lower limb. Wasserstein described surgical techniques conforming with the acute lengthening principleafter 1970s. Winquist, Hansen and Pierson introduced osteotomies for shortening of the uninvolved lower extremity in 1970s. Also in 1970s, the concept of distraction osteogenesis was introduced by Ilizarov in former USSR. Ilizarov et al in USSR and Monticelli and Spinelli in Italy used circular external fixator, and de Bastiani in Italy used unilateral external fixator to introduce and apply gradual lengthening techniques.

Today’s modern life conditions require a more comfortable postoperative follow-up period and a shorter hospitalization period for all treatment methods, including limb lengthening. These requirements led to new research concerning extremity lengthening methods. The Salter osteotomy-like innominate osteotomy defined by Millis and Hall, and shortening osteotomy of Winquist et al have resulted from these trials. However, these methods did not meet the requirements completely. As a result of continuing reserch, the most comfortable technique with the shortest hospitalization period was defined by Kempf and Grosse in 1985 and by Paley et al in 1997. This technique was applied in Turkey by Dr. Mehmet Kocaoglu, MD and Dr. Mehmet Cakmak, MD for the first time in 1997 in Istanbul Medical Faculty, Department of Orthopedics and Traumatology. The details of the technique, which is stil applied today, are given below.

1. Step:
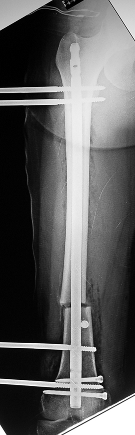
Installment of the intramedullary nail and osteotomy:

The patient lies is supine position at a traction table and legs are crossed with the uninvolved leg at the bottom. The medullary cavity is penetrated through piriform fossa using the standard method, and medulla is reamed 1.5 mm thicker than the nail to be used, over a guidewire. Proximal femur is reamed more, because the intramedullary nail is thicker proximally. The osteotomy site is planned at the X-Rays. It is important that at least 8 cm. of nail remains distal to the osteotomy site after the completion of the lengthening procedure. Percutaneous corticotomy is performed. The guide wire is advanced distally in order to measure the length of the nail. An intramedullary nail of apropriate length is placed. In the end, the nail is interlocked proximally, a suction drain is placed and the fist step of the operation is completed.

2. Step:

The application of the external fixator: Three Schanz screws are placed distally and three screws are placed proximally. At least 1 mm of distance shall remain between the screws and the nail.

3. Step:

Postoperative care: Distraction is commenced at day 10. 0,25 mm of lengthening is perfomed 4 times daily (every 6 hours). Hip and knee joint motion exercises begin at 1-2. day postoperatively. For many years, the treatment of lower extremity shortness has been very hard for the patient and the surgeon. The techniques developed after the introduction of Ilizarov’s distraction osteogenesis concept have pioneered a new era, and have been considered to be procedures in which previous complications are encountered much less frequently.

Today the most important properties that an extemity lengthening method shall possess are application time, ability to correct alignment (anatomic and mechanical axis of the extremity), number of total operations required, ability to protect the regenerated bone from refracture, minimum rate of pin tract site infection and possible complications, preservation of joint motion, healing time, comfortability in daily life and application cost.

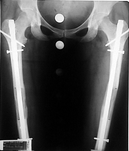
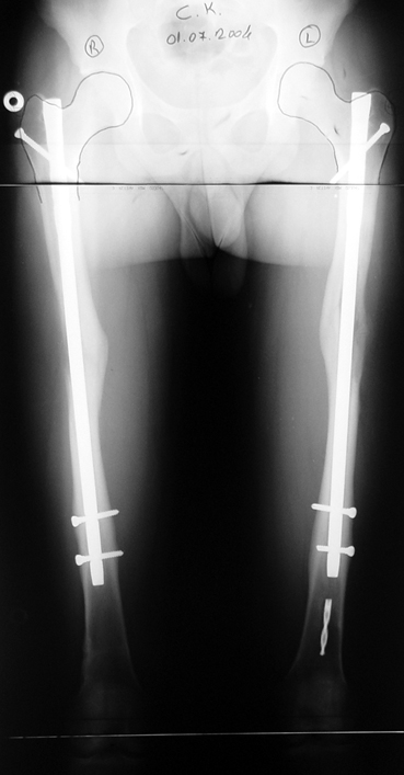
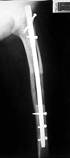
In selected cases, we prefer to use a combination of a unilateral dynamic axial fixator and an interlocked intramedullary nail, in order to protect the length and alignment after the completion of the lengthening procedure. As a prerequisite for this technique, the narowest diameter of the medullary cavity shall be wider than 7 mm and the length of the nail segment distal to the osteotomy site shall be at least 8 cm. after the completion of the lengthening procedure.The intramedullary nail neutralizes shear and bending forces on femur during lengthening, shortens external fixation time, and protects newly formed bone against fractures. In our series, subtrochanteric osteotomy was performed in one case. No varus angulation occured despite the intramedullary nail.

Ilizarov stressed the significance of endosteal blood circulation for distraction osteogenesis. Although we placed the intramedullary nail after reaming the femur in all cases, the time for callus formation was not longer than expected. Thus we found that there is no slowing in the rate of new bone formation due to disruption of medullary blood flow. The rationale of this finding is revascularization that occurs following reaming of the medullary cavity, the fixation stability with the intramedullary nail and early functional weight bearing. The potential disadvantages of a combined use of external and internal fixation metods are increased blood loss, intramedullary infection, risk of fat embolism and excessive metal load.The most fearsome complication is a deep intramedullary infection (panosteomyelitis) triggered by pin tract infection.No such complication was encountered in our series. In order to avoid this complication, after the completion of lengthening the nail shaill be interlocked from the medial side, and contact of internal and external fixator pins shall be avoided.

Another complication of lengthening over nail in children is development of secondary coxa valga due to damaging of greater trochanter, which is close to the entry site of the nail. All cases but one in our series were skeletally mature. One case was 12 years old, and no coxa valga deformity was detected at last control. The case is still under control.

Despite low sample size, our aim was to compare two groups with matching ethiology, age, location and amount of the deformity and other similar factors. We neglected simultaneous tibial lengthening and osteotomy site in this preliminary study. The sample size was not enough to conduct a prospective randomized trial. Although the results of the study did not produce statistically significant data, it is the first and only example in our country and conveys significant experience.

The combination of intramedullary anil and dynamic axial external fixator is harder as a technique than Standard Ilizarov applications. However, it is stil appealing due to the following advantages: shortening of the duration of external fixation, protection against refracture, early rehabilitation, gaining maximum range of motion and daily quality of life. These advantages are more important than disadvantages such as increased cost, increased blood loss and potetntial deep infection. All in all, we believe that the technique of femoral lengthening over an intramedullary nail is a safe and reliable method and provides advantages over standard Ilizarov aplications.

Results Of Cosmetic Lower Limb Lengthening
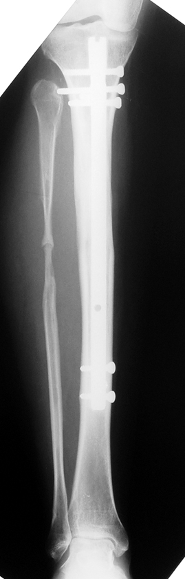
Vaka 1
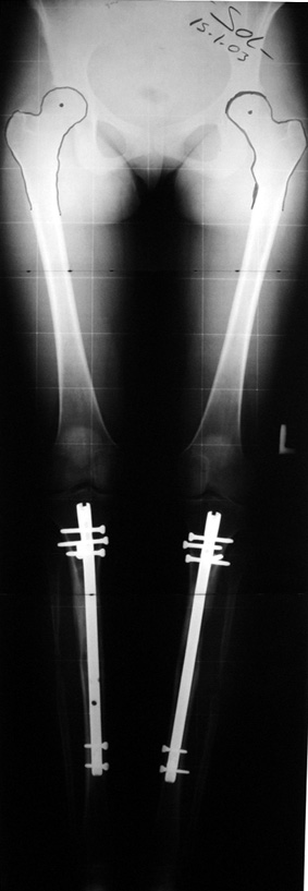
Vaka 2
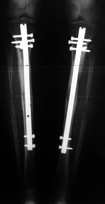
Vaka 3
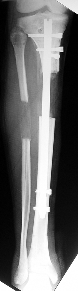
Vaka 4
Vaka 5
Vaka 6