Extremite Uzatma

Bacak Kısalığı bir çok nedene bağlı olarak gelişebilir. 3 alt başlık altında ele alınmalıdır:

Konjenital bacak kısalığı (doğuştan) , Gelişimsel bacak kısalığı (büyüme çekirdeklerinin hasarına veya yavaşlamasına neden olan bir çocukluk dönemi hastalığı veya hasarı nedeniyle sonradan oluşan), Posttravmatik bacak kısalığı (kemik uçlarının kısalmasına neden olan kırıklar), Uzunluk farkını eşitlemenin üç yolu vardır: Kısalık telafisi (Ayakkabı altına ilave edilen yükseltmelerle) Uzun bacağın kısaltılması Kısa bacağın uzatılması. Bir çok hasta 2 cm’ den daha uzun telafi kullanmak istemez. 2 cm’ den fazla 5 cm’ den az uzunluk farklarında özellikle uzun boylularda kısaltma düşünülebilir. Büyümekte olan çocuklar için epifizyodez adı verilen küçük, minimal invazif, komplikasyonsuz bir işlemle bu kolayca yapılabilir.

Bu, cerrahi olarak büyüme çekirdeklerinden bir veya daha fazlasının kapatılması anlamına gelir. Femur, tibia ve fibulanın uçlarında birer büyüme çekirdeği vardır, bu işlemle bacağın bütün büyümesini durdurmaz. Basit bir şekilde daha uzun olan bacağın uzamasını hesaplanabilir şekilde durdurulurken, kısa bacağın onu yakalaması sağlanır. Eğer bu işlem çok erken veya çok geç yaşta yapılırsa sırasıyla çok fazla veya çok az düzeltme elde edilebilir. Bu yüzden epifizyodez için en uygun yaşın doğrulukla hesaplanması çok önem taşır.

Bu işlemin ne zaman ve hangi kemik segmentlerine uygulanacağı değişik metodlarla (Gren-Anderson şeması; Moseley eğrisi; Paley’in multiplier metodu gibi.) tedaviyi yapacak doktor tarafından hesaplanmalıdır. Yetişkinlerde büyüme çekirdekleri kapanmış olduğu için epifizyodez bir seçenek değildir. Yetişkinde uzun bir bacağı kısaltmak için kemikten bir parça cerrahi olarak çıkartılmalıdır. Bu genellikle femurda (uyluk kemiği) yapılır ve kemik intramedüller çivi ile tespit edilir. Bu yöntemin en büyük avantajı 5cm´den az uzunluk farklarında boy eşitliğini hemen sağlamasıdır. Hem epifizyodezin hem de kısaltmanın ortak dezavantajı hastanın toplam boyunun kısalmasıdır. 5cm’ den fazla kısaltma tavsiye etmediğimiz için boy kaybı hiçbir zaman 5 cm’ den fazla olmamaktadır. 5cm’den daha az boy farklılıkları için kısaltma veya epifizyodez ameliyatı olmak istemeyen hastalarda bacak boyunu eşitlemek için bacak uzatma işlemi tercih edilmelidir. İkinci bir uzatma ihtiyacını azaltmak veya uzatma miktarını azaltmak için epifizyodez ve kısaltma uzatma ile kombine ederek uygulanabilir.

1- KONJENİTAL BACAK KISALIĞI

Konjenital Bacak Kısalığı olan hastalar gelişimsel ve posttravmatik BK hastalarda uzatma ile ilgili çok deneyimi olan uzman cerrahlar tarafından tedavi edilmesi gereken zor vakalardır. Bacak Kısalık miktarının fazla olmasının yanında zamanla tedrici ve orantısal olarak artar. Günümüzde kısa bacağın büyümesini hızlandıran bir yöntem bilinmemektedir. Kemik ile ilgili problemlere ek olarak yumuşak dokularda da uzatma sırasında gerilmeye neden olup engelleyen kalınlaşma ve kısalma vardır. Kalça, diz ve/veya ayak bileği gelişimi tam olmayabilir ve/veya eklemler yerinde sağlam olarak durmuyor olabilir. Bütün bu faktörler eklem, sinir ve kaslarda oluşacak geri dönüşümsüz hasarı engellemek için dikkatle değerlendirilmelidir.

Bölümümüzde yukarıda bahsedilen konjenital Bacak Kısalığı hastalarının hepsinin tedavisini yapıyoruz. Boy uzamasının sonunda (iskelet matüritesi) BK farkının kesin olarak ne kadar olacağını hesaplıyoruz. Mevcut bütün deformiteleri ve eklem instabilitelerini tanımladıktan sonra bu bilgilerle ilk basamakta kalça, diz ve/veya ayak bileği ve ayağın cerrahi düzeltilmesini de içeren uzvun tedavi stratejisini organize ediyoruz. Uzatma cerrahisi bir veya birkaç ameliyat gerektirebilir. Konjenital BK hastalarının büyük bölümü uzatma ve rekonstrüksiyon ile tedavi edilebilir. Bir çok vakada hasta 4 yaşına ulaşmadan sıklıkla 2 yaşından önce uzatma ve rekonstrüksiyon cerrahisi işlemlerine başlamayı tercih ediyoruz.

Alternatif tedavi metodları protezin içine daha rahat oturması için bacağın ampute edilmesi ve çocuk uzadıkça uzunluk farkını düzeltmek için protezin uzatılmasıdır. Biz buna protez rekonstrüksiyon cerrahisi (PRC) adını veriyoruz. Bu Syme amputasyonu ve Van Ness rotasyonplasti gibi ameliyatları içermektedir. Bir veya birden fazla eklemi olmayan ciddi defektleri olan hastalarda bu en iyi tedavi seçeneği olabilirken bizim düşüncemize göre hastaların çoğunda en iyi yöntem değildir. Femur ve tibiada uzatma cerrahisi sonuçlarımız çok fazla uzunluk farklarında bile mükemmeldir ve eklem fonksiyonlarının geliştirilmesinde ve korunmasında mükemmel sonuçlar elde edilmektedir.

2- GELİŞİMSEL BACAK KISALIĞI

Bu büyüme çekirdeği hasarı ve büyüme durması, Ollier hastalığı, multipl osteokondromlar, poliomyelitis (Çocuk felci), enfeksiyon, radyasyon ( radyoterapi), serebral palsi (Spastik felç), spina bifida, çarpık ayak gibi hastalıklarla oluşan BK içerir. Bu BK grubunda sıklıkla ek anomaliler bulunur. Bir çok vaka bir veya iki uzatma ile tedavi edilebilir. Eğer deformite varsa uzatma ile aynı anda deformite de düzeltilebilir. Kalçanın neonatal sepsisi gibi yaşamın ilk yılında kalça ekleminin harap olduğu durumlarda bacağı sadece uzatmakla kalmayıp pelvik destek osteotomisi denen özel bir ameliyatla kalçanın rekonstrüksiyonunu sağlıyoruz. Bu ameliyatla harap olmuş kalça ekleminin yerine hemen hemen normal olarak fonksiyon görebilecek bir kalça eklemi elde edilir.

3- POSTTRAVMATİK BACAK KISALIĞI (YANLIŞ KAYNAMA)

Bu Bacak Kısalık tipi bir kırığın kısalmış pozisyonda kaynaması ile oluşur. Bir çok vaka yetişkinlerde görülür ve sadece bir uzatma ile tedavi edilebilir. Ek deformiteler de aynı anda düzeltilebilir. Bu hastaların çoğu çivi üzerinden uzatma veya tam implante edilen çivi ile tedavi edilebilirler.

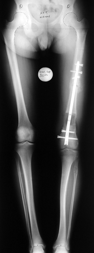
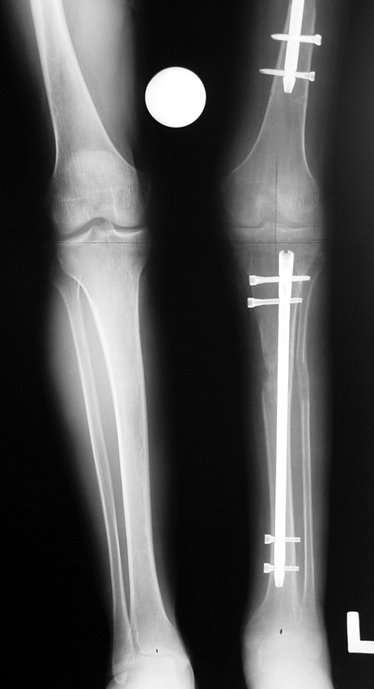
Vaka 1
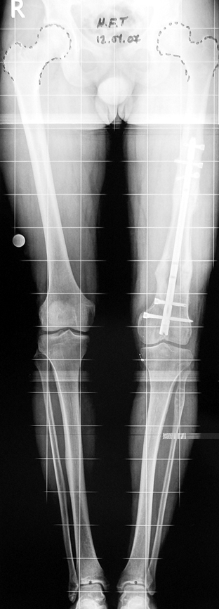
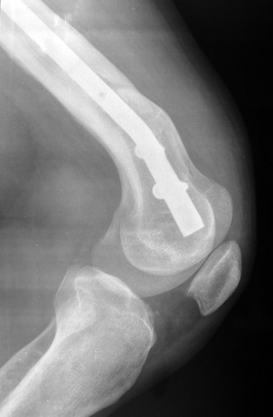
Vaka 2
Vaka 3
Vaka 4
Vaka 5
Vaka 6
Vaka 7