Cücelik

Cücelerde boy kısalığı için uyguladığımız boy uzatma programında sadece boy uzatmayı değil aynı zamanda ayak bileği, diz , kalça ve el bileği deformitelerinin düzeltilmesini ve lomber hiperlordozun azaltılmasını amaçlamaktayız. Lomber hiperlordozun azaltılması yetişkin yaşlarda spinal stenoz riskini azaltır. Başvuru anındaki yaşına göre iki tip tedavi stratejisi bulunmaktadır.

Juvenil (genç çocukluk) stratejisi

İlk uzatma:

6-8 yaşları arasında Femur (uyluk) ve tibiada (bacak) toplam 10cm boy uzatma (6cm femur ve 4 cm tibia) Parantez bacak deformitesinin düzeltilmesi Ortalama eksternal fiksasyon tedavi süresi = 5 ay İkinci, üçüncü ve dördüncü boy uzatmalar Yetişkin stratejisinde (aşağıda) olduğu gibi Alt uzuvlarda (Diz üstü ve altı dahil) toplam 30-35 cm boy uzatma Üst uzuvlarda toplam 10-12 cm boy uzatma

Yetişkin stratejisi

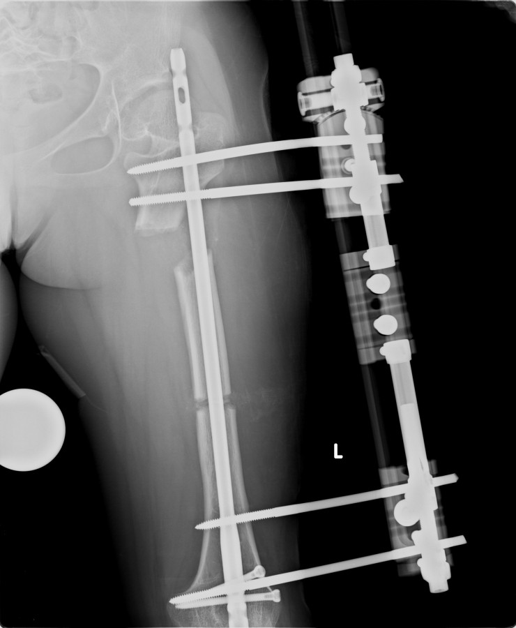
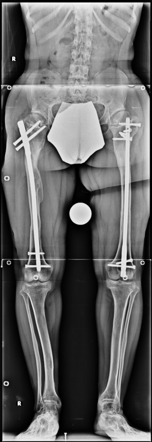
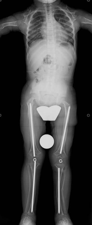
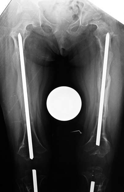
14 ve 16 yaşlar arasında her iki femurda toplam 10-12 cm boy uzatma her iki kalçanın fleksiyon deformitesinin düzeltilmesi (bu lomber hiperlordozu düzeltir) her iki kalçanın varus deformitesini düzeltme ortalama eksternal fiksasyon tedavi süresi = 10-12 ay

İlk boy uzatma:

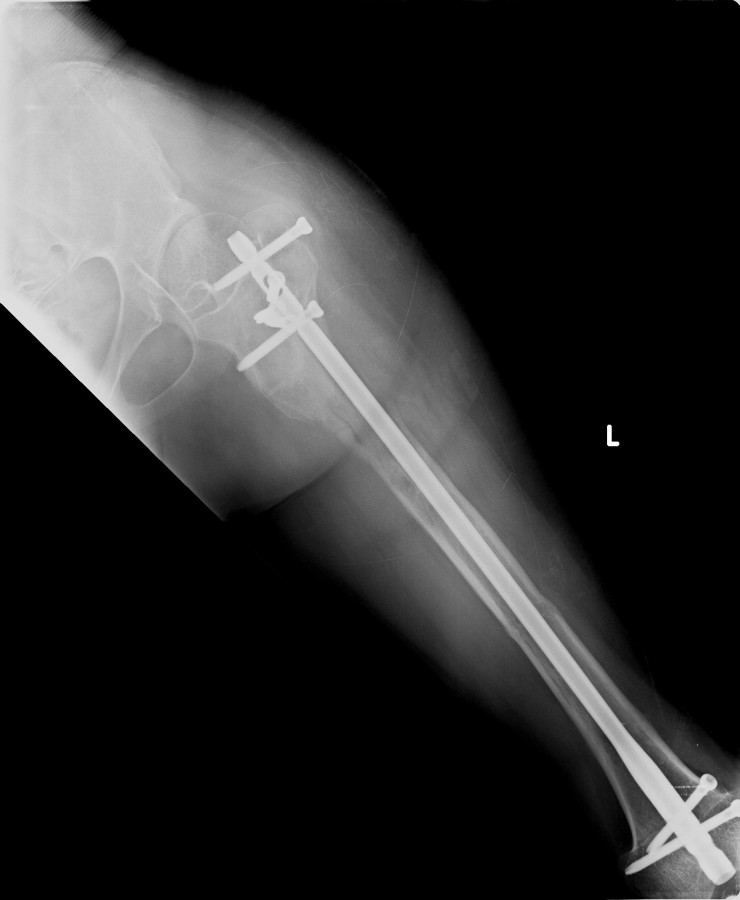
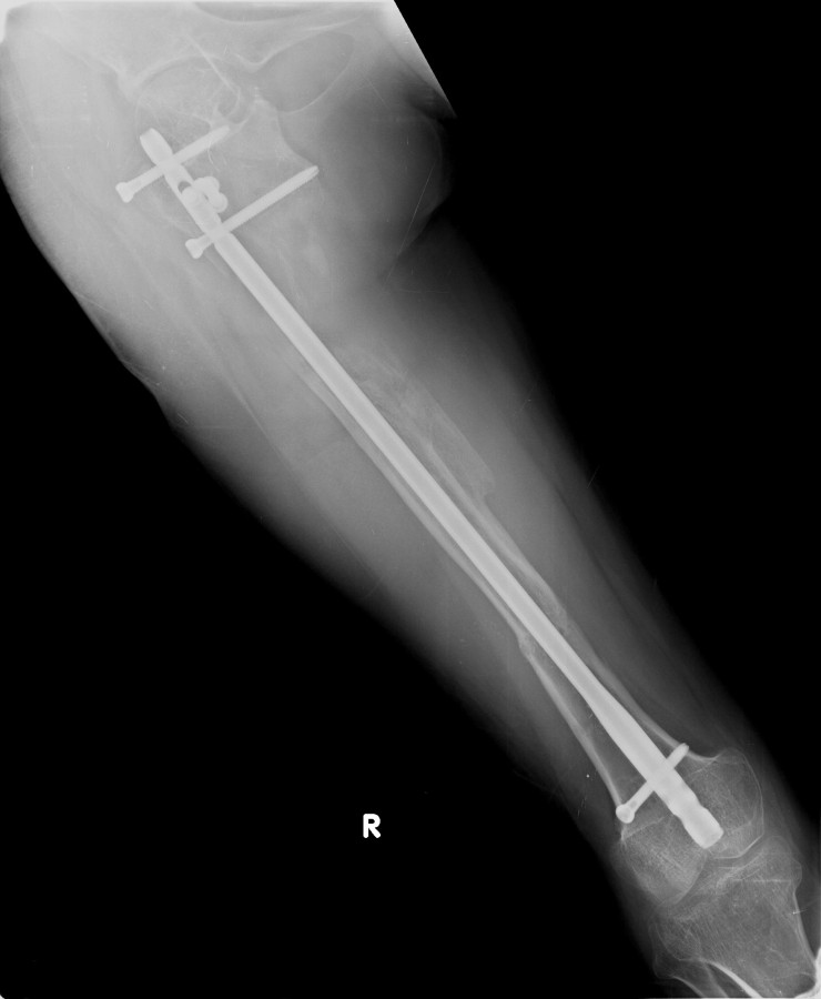
12-14 yaşları arasında Her iki tibiada toplam 10-15cm boy uzatma (iki seviyeli uzatma) Proksimal tibianın varus deformitesini proksimal osteotomi ile düzeltilmesi Distal tibianın varus deformitesi distal osteotomi ile düzeltmesi Distal tibianın varus deformitesi distal osteotomi ile düzeltmesi Boy uzatmanın sonunda lateral kollateral ligamentin gerilmesi Ortalama eksternal fiksasyon tedavi süresi = 8-10 ay

İkinci boy uzatma:

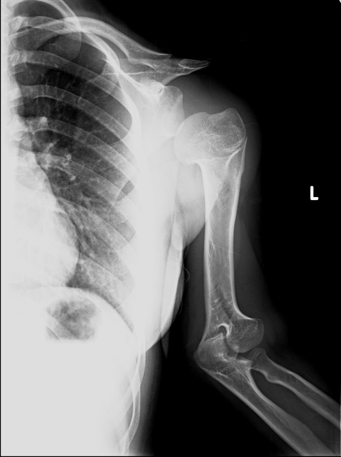
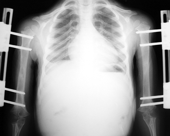
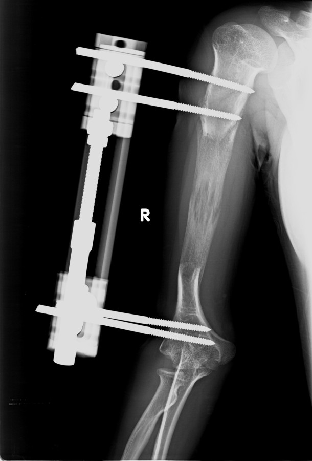
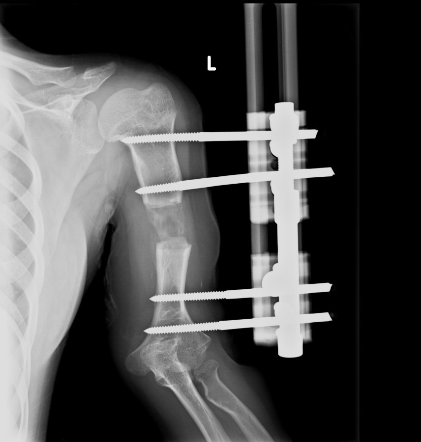
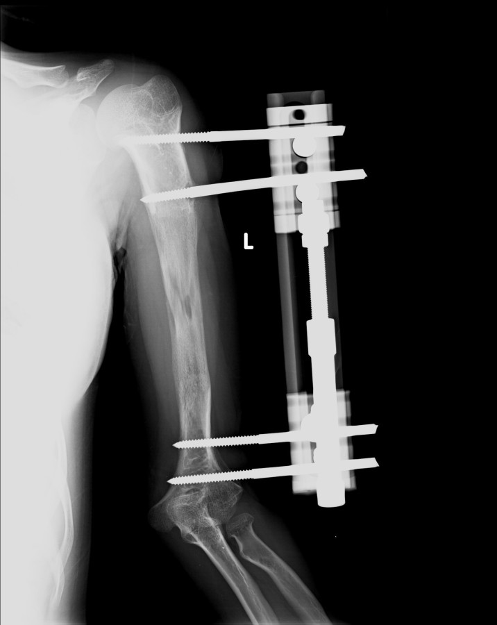
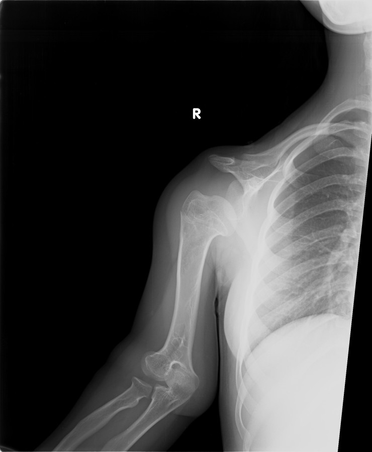
13-15 yaşlar arasında Her iki humerusu (kol) 8-12 cm boy uzatma Dirseklerin fleksiyon deformitesini düzeltme Ortalama eksternal fiksasyon tedavi süresi = 6-8 ay Alt uzuvların iki uzatması arasında üst uzuvlar uzatılarak alt uzuvların dinlenmesi sağlanmış olur. Cihaz çıkartıldıktan sonra en erken ikinci uzatmaya başlama süresi 6 aydır. Bilateral femoral uzatmalarda uzatma fazı sırasında hastanın yürümesi mümkün değildir. Ayakta durmaya sadece hasta transferi sırasında izin verilir. Uzatma fazında ambulasyona sadece tekerlekli sandalye ile izin verilir. Konsolidasyon fazında ise tedrici olarak daha fazla yük verilmesine ve cihazın çıkmasına yakın serbest yürümeye izin verilir. Bilateral tibial uzatmalarda ilk günden itibaren yürüteç veya koltuk değneği ile hastanın yük vermesine izin verilir. Uzun gezintiler tekerlekli sandalye ile yapılmalıdır. Bilateral humeral uzatmalarda hemen hemen hiçbir aktivite kısıtlaması yoktur. Uzatma süresince her iki haftada bir yapılan takiplerde kantitatif duyusal sinir testleri doktor tarafından yapılmalıdır. Bu gelişmekte olan sinir sorunlarını klinik olarak ortaya çıkmadan yakalamaya izin verir. Femoral ve humeral uzatmalarda çok nadir görülmesine rağmen tedavi edilmedikleri durumda düşük ayağa (ayağı yukarı çeken kasları innerve eden sinirin felci) neden olabilirler. Eğer erken tespit edilir ve uzatmanın hızı azaltılırsa, sinir problemi genellikle kendiliğinden düzelir ve uzatmaya düşük hızda devam edilir. Uzatmada yavaşlamaya rağmen sinir problemi devam ederse sinirin cerrahi olarak gevşetilmesi gerekir. Bu işlem 1cm’ lik bir kesi ile yapılabilen ve hastanede bir gece kalmayı gerektiren küçük bir işlemdir. Bu ameliyat el bileğinde sinir sıkışması (karpal tünel sendromu) için yapılana benzerdir.

Vaka 1
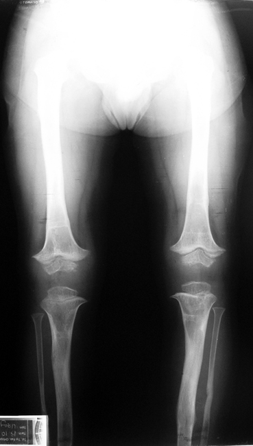
Vaka 2
Vaka 3